Probably not. When the CBCT shows the defect all on the buccal, I tend to go into hero mode….Today, I do what the patient tells me to do. I have a whole series of these now that we are monitoring. So far, I can’t think of a single one that suggests it is advancing. Maybe just dumb luck or no cats….
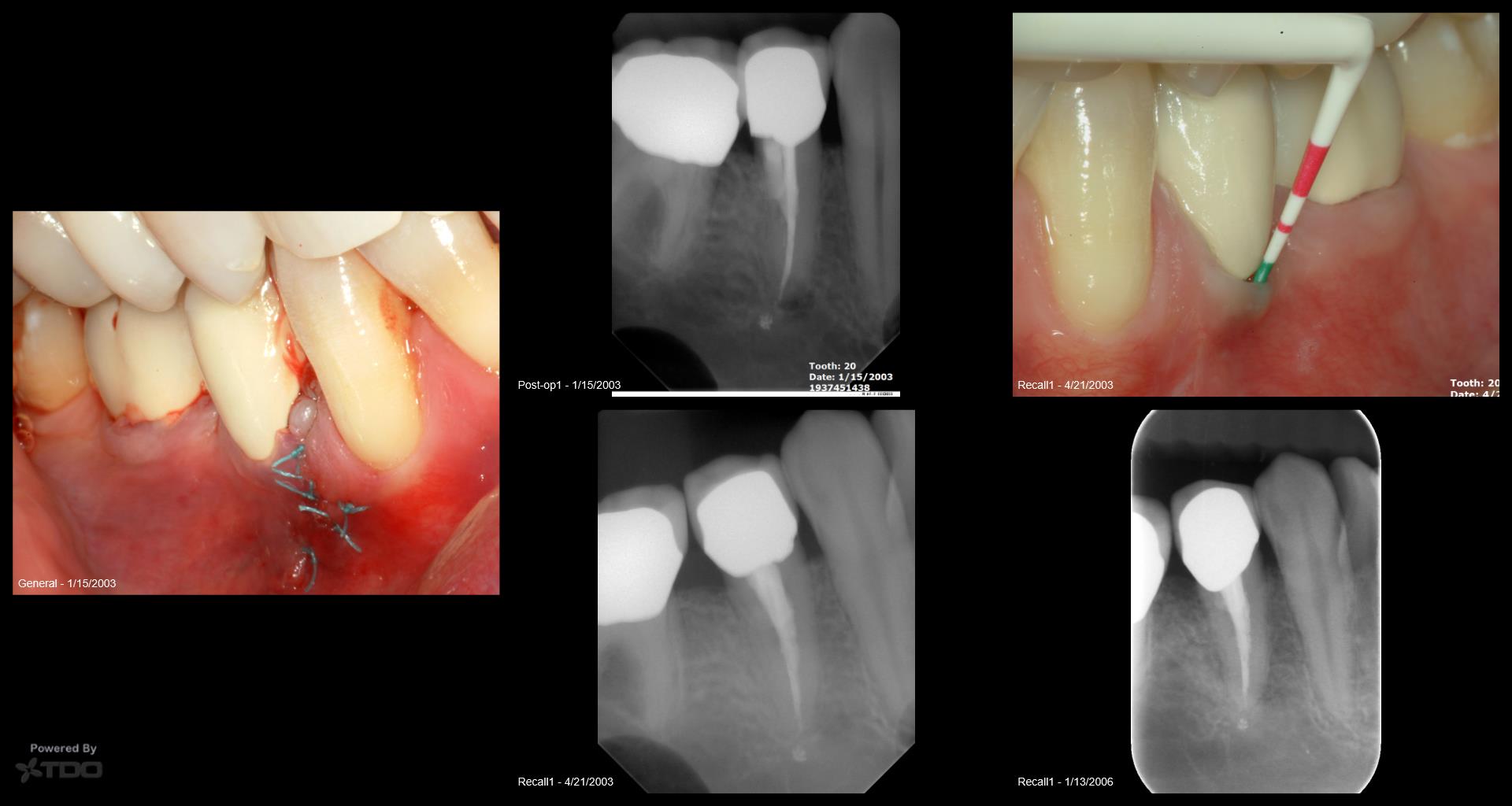
Would you treat the asymptomatic case presenting this way today?
Probably not. When the CBCT shows the defect all on the buccal, I tend to go into hero mode….Today, I do what the patient tells me to do. I have a whole series of these now that we are monitoring. So far, I can’t think of a single one that suggests it is advancing. Maybe just dumb luck or no cats….