• Home
  • Courses
  • FAQ
    • Getting Started with TDO University
Register Login

Online Endodontic Education

TDO University
Register Login

Author Archives: Revathi Miglani

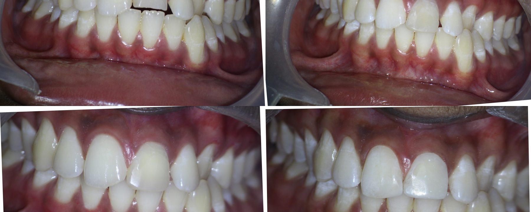
Crown fracture extending sub-gingival

Crown fracture extending sub-gingival

September 18, 2018 1 comment

Pt 55 yoM presented with fracture of #9.  History of trauma 2 wks back and was aymptomatic. Gingivectomy using electrocautery was done. Root canal therapy was completed after intermittent CAOH dressing , fibre post cemented and composite build up was done.  

Revathi MiglaniSeptember 18, 2018 1 comment
Revathi Miglani
Perforation management

Perforation management

August 27, 2018 0 comments

Pt 50 YOF presented with dislodged crown and severe pain in the recently RCT done #31. Started Re-treatment, after cleaning the chamber saw three orifices and finished the canals preparation, but was not sure of the distolinugal. I did not diagnose perforation as there was no bleeding nor patient complained of any pain during the […]

Revathi MiglaniAugust 27, 2018 0 comments
Revathi Miglani
Routine RCT

Routine RCT

August 27, 2018 0 comments

 

Revathi MiglaniAugust 27, 2018 0 comments
Revathi Miglani
Cracked tooth

Cracked tooth

July 13, 2018 9 comments

54 yr old male reported with pain and temperature sensitivity in relation to #18 for the past 1 wk. Had history of tooth fracture 3 moths back. Clinical examination revealed fracture of distobuccal cusp and deep distal fissure. Tenderness on percussion . No significant change evident in radiograph. Immediate response to cold test. Cracked tooth […]

Revathi MiglaniJuly 13, 2018 9 comments
Revathi Miglani
Non-vital  fractured #9 with PAP

Non-vital fractured #9 with PAP

July 7, 2018 4 comments

Pt 17yrs male presented with pain and discoloration of #9. After the Access prep,cleaning and shaping ,  temporary composite restoration was done. After 2 visits of CAOH dressing  obutration completed and bleach placed for a week. Composite resoration done in #8 and repeated in #9.

Revathi MiglaniJuly 7, 2018 4 comments
Revathi Miglani
Routine  RCT

Routine RCT

July 7, 2018 9 comments
Revathi MiglaniJuly 7, 2018 9 comments
Revathi Miglani
12

Categories

© 2018 - TDO University
  • Home
  • All Courses
  • Privacy Policy

@

Not recently active