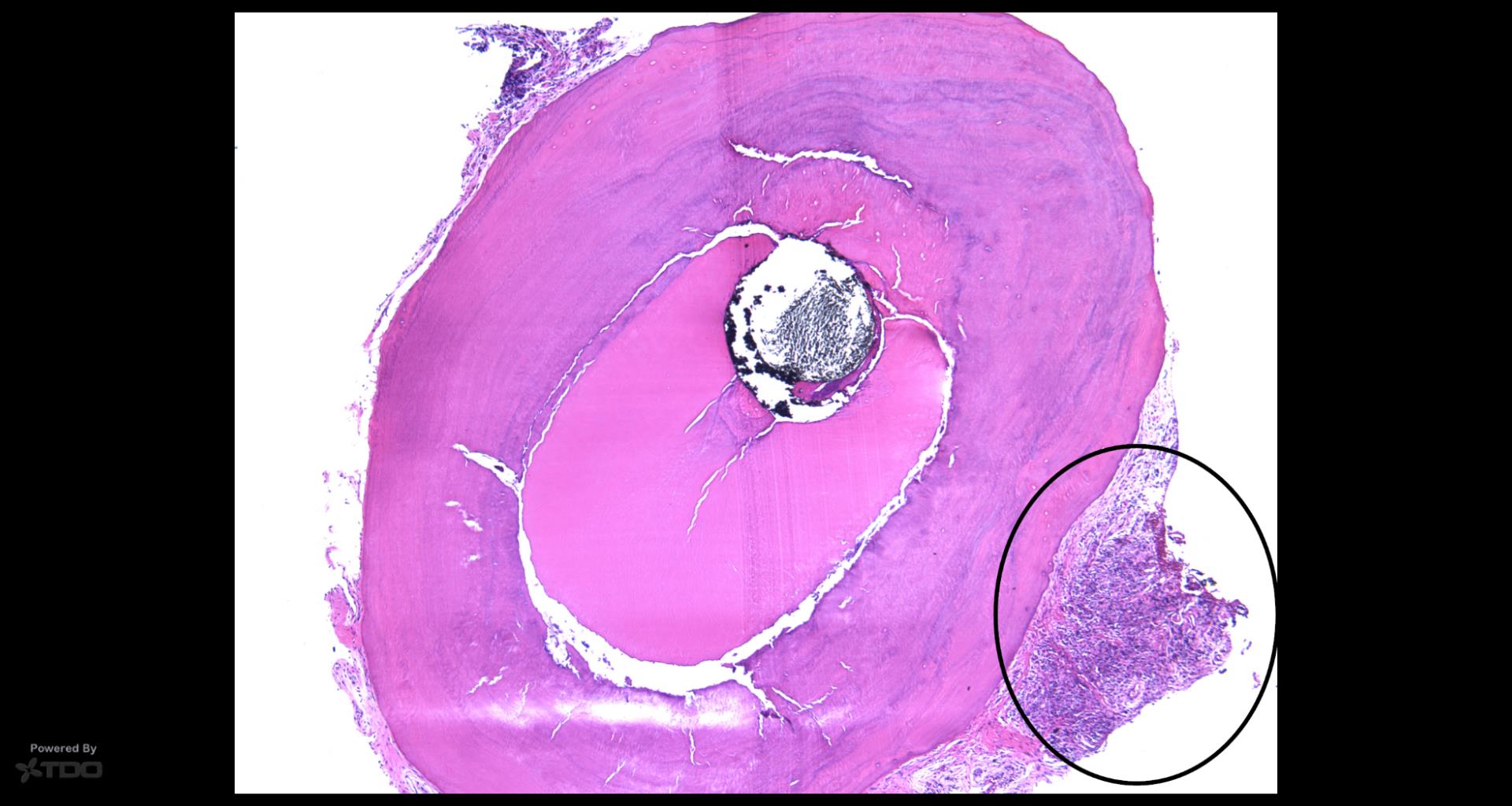
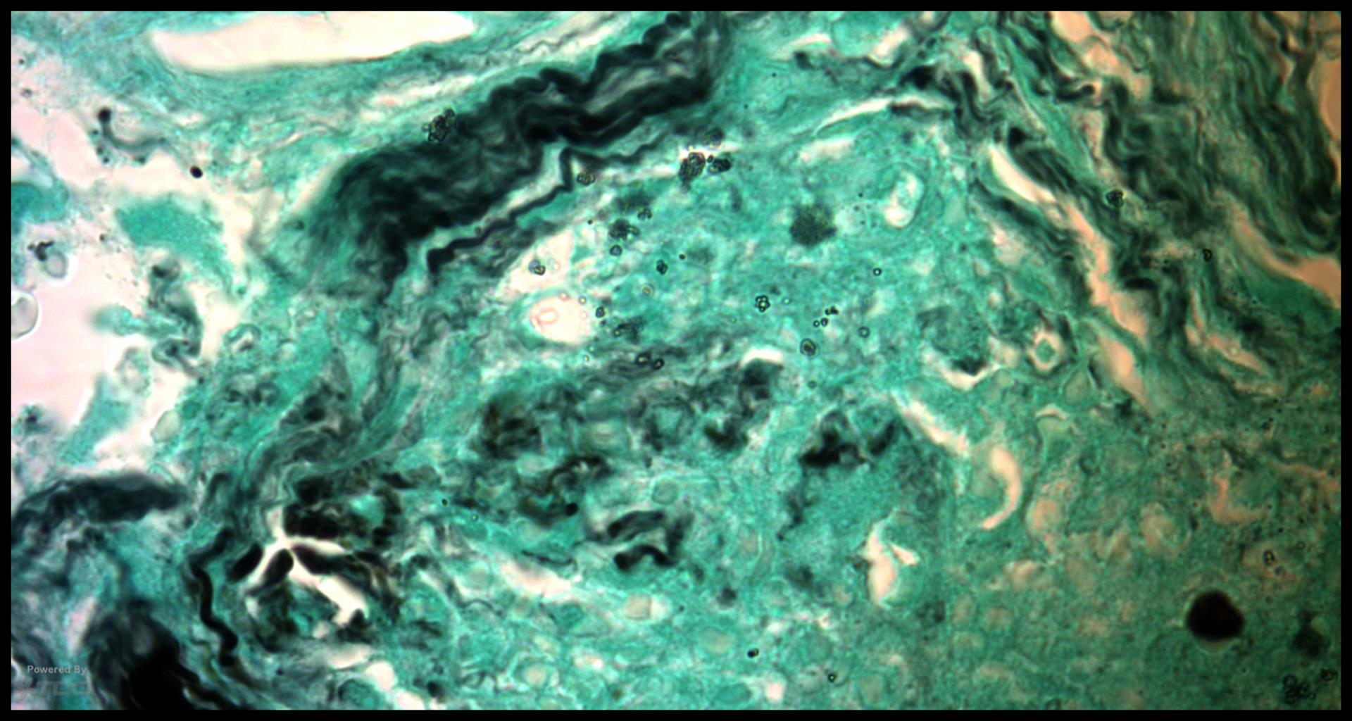
Older TDO’ers may remember this case that Rick sent me in 2012 from a surgery he did.. There was some bacterial morphotypes seen along the canal wall, but not very much. But on the outer root surface there was a lot of inflammation and a fungal stain suggests why…. gbc






I was feeling overwhelmed with my research paper, so I decided to ask someone to write an research paper for me https://essayservice.com/pay-for-research-paper. The service I used exceeded my expectations. The writer provided a thorough, well-researched paper that followed all my guidelines and was delivered on time. The quality was exceptional, and it helped me meet my deadline without stress.
Excelente artículo que destaca la importancia de reconocer las infecciones fúngicas en la endodoncia. Es fundamental que los profesionales estén atentos a estas infecciones para garantizar un diagnóstico preciso y un tratamiento adecuado. Gracias por compartir información tan valiosa.
Geometry Dash
If not treated immediately, the tooth you are taking will have damaged pulp, and then it will be very difficult to treat. Slither io
Lotteries, roulette, card games, and sports betting are classic forms of gambling. Many enthusiasts explore online platforms, often reading betathome freispielcode erfahrungen for insights. No matter the type, gambling unites unpredictability, entertainment, and the pursuit of rewards.
What a comprehensive overview on fungal infections! I appreciate the emphasis on prevention. It could be interesting to explore how lifestyle choices impact susceptibility in slope game!