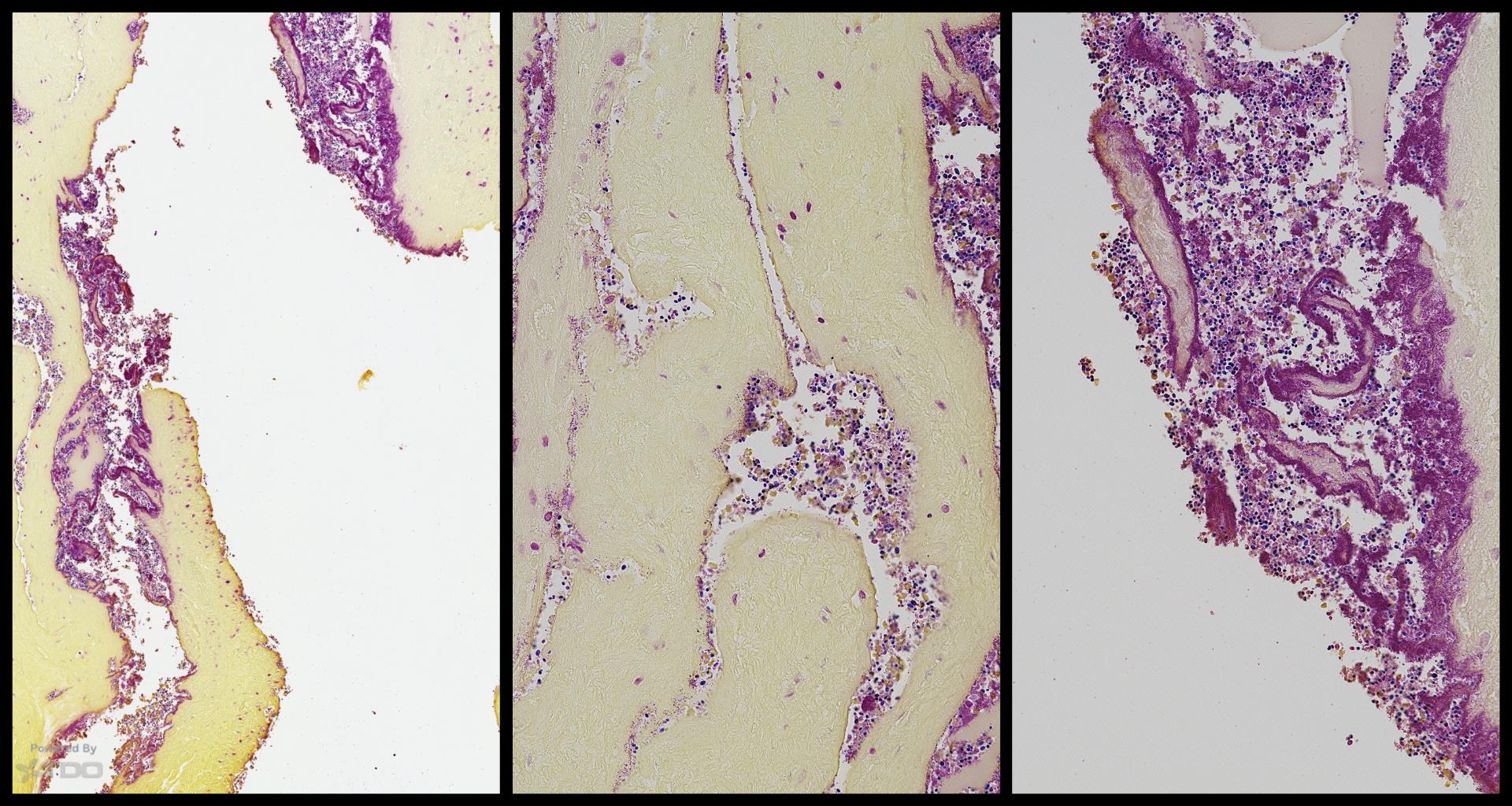
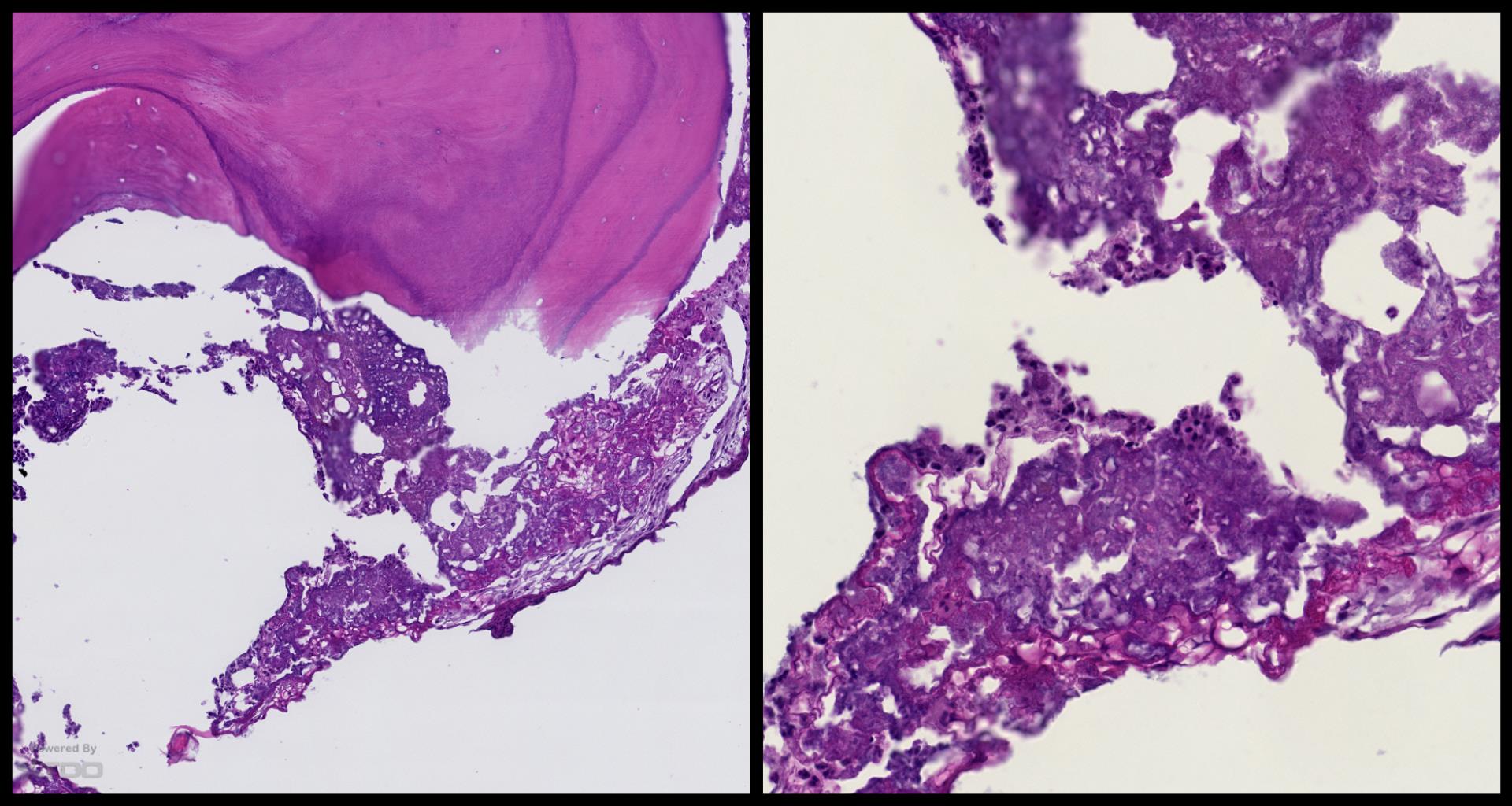
I took John’s root tip he sent me and processed it as follows: 1. Decalcified the root in EDTA for 1 week then some Decal overnight (Formic aa) 2. Mounted in parrafin for standad H&E staining. 3. Sectioned the tooth axially every 100 microns until exhaustion. 4. Every 100 microns an H&E stain was done, A Brown-Brenn stain was done, and a Fungal stain was done. 5. All 60 slides were scanned at 200x, and 600x. Two representative sections are shown here. Initial impressions: 1. No lateral canals were detected in any of the slices. 2. No bacterial colonization was detected in any of the B-B stained slides 3. There was a suggestion of fungal colonization on the external root surface 4. The pulpal space had minimal, if any, bacterial morphotypes evident. Open to alternative impresions from others. The last (page 7) slide shows the control slide for the Brown-Brenn bacterial stain. gbc Ain’t the Collage function awesome…..







引入先进技术是research paper代写 http://www.emwchinese.com/store/info?id=12 机构实现高效率的重要手段。在当今信息化时代,科技的发展为提升工作效率提供了丰富的工具和手段。代写机构可以通过引入自动化写作软件、抄袭检测工具和数据分析系统等先进技术,提高写作和审稿的效率。例如,自动化写作软件可以辅助写作者快速生成文章初稿,节省大量时间;抄袭检测工具可以迅速检测文章的原创性,确保论文的学术诚信;数据分析系统则可以帮助机构了解市场需求和客户反馈,优化服务流程和策略。此外,机构还可以利用云计算和大数据技术,建立高效的文档管理和存储系统,确保写作者和客户能够随时访问所需的资料和文档。通过引入先进技术,代写机构不仅能够提高工作效率,还能提升服务质量和客户体验。
As an endodontist, I’ve seen many complex cases similar to Dr. Khademi’s lateral incisor specimen. The rigorous processing protocol reminds me of my residency days where we’d spend weeks analyzing failed cases. I particularly appreciate the thoroughness of sectioning at 100-micron intervals with multiple staining techniques. In my practice, I’ve also observed cases where suspected bacterial involvement wasn’t confirmed histologically despite clinical symptoms. This reinforces how challenging endodontic diagnoses can be! After long days examining microscope slides like these, I often unwind by watching entertainment like Sprunki to clear my mind before the next clinical challenge.
This is a fascinating technical case geometry dash 3d— root tip management after an apicoectomy on a lateral incisor requires great precision and deep anatomical understanding. Thanks for sharing!
Choose the genuine Atlas Copco 3002616805=1092092005 110KW motor on https://www.boaoaircompressor.com/product/3002616805-1092092005-atlas-copco-motor-110kw/ to ensure your air compressor stable power output and long-term reliability. Contact BOAO Air Compressor Co., Ltd. today for pricing, stock availability, and fast delivery support. Our professional team is ready to assist you with your order.
The first step is to select the appropriate type of realistic sex doll: TPE best sex dolls are more affordable and offer a softer touch, making them ideal for beginners.
Silicone sex dolls, particularly those designed with lifelike features and customizable personalities, can offer a sense of presence and companionship, even if artificial. For some users, the value lies less in sexual gratification and more in alleviating the psychological burden of isolation.
最近いろいろな通販サイトを見ていた中で、BeYourLover を知りました。全体的にごちゃごちゃしていなくて、すごく見やすい印象です。ディルドもシンプルにまとまっているので、初めてでも選びやすいと感じました。