5 yr CBCT recall

[post-views]
Collage-2140635222-Page00

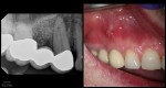
Entire buccal plate missing. CBCT at 5 years suggests most, but not all, bone has regenerated. As canine bridge abutment, it is subjected to some occlusal trauma. gbc

Gary Carr

0 0 vote
Article Rating
Subscribe
Notify of
0 Comments
Inline Feedbacks
View all comments

@

Not recently active