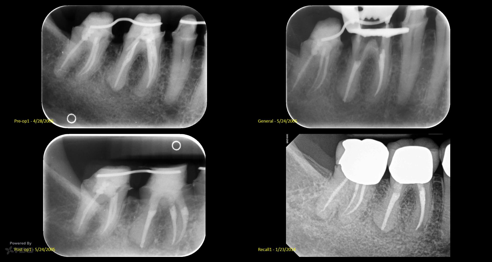
I did a retreat #19 15 years ago. Today symptom free but #18 looks suspicious and maybe even #19……. Perfect case for monitoring….not anxious to do another retreat… gbc
Gary your journey is inspiring. It is incredible that after 15 years you are symptom free from retreat #19. Your caution about #18 and the need for monitoring is well noted. Stay strong. Aiken Mold Inspection Services Professionals
I would like to emphasize that this game is exceptional and quite pleasurable. Visit this platform to enjoy a free board game in your leisure time retro games, without the need for any downloads or sign-ups.
Touchstone provide Best Ielts in Chandigarh .we offer personalized training sessions, experienced instructors, and a robust curriculum designed to help students achieve high scores. With a focus on all four key language skills—listening, reading, writing, and speaking—Best IELTS provides extensive practice materials, mock tests, and individualized feedback.
Your information is effective and extremely helpful; I love watching it as much as I love playing run 3, an incredibly fun infinite runner game every day.
At Rejuvenation Clinic, discover our transformative Hair Strengthening Treatments designed to revitalize and nourish your hair from root to tip. Our expert practitioners use innovative techniques and premium products to strengthen, repair, and enhance the health and vitality of your hair.
Experience luxury at Nawabs Hotels And Resorts’ the best hotel restaurants . Nestled in the picturesque Naran Valley, our hotel offers premium accommodations, breathtaking views, and top-notch amenities. Enjoy exceptional hospitality and comfort, making your stay at Lalazar Naran Hotel truly unforgettable.
Essen’s Limit Switch is a precision-engineered device designed to control the motion of machinery by detecting the position of moving parts. It features a durable construction, high reliability, and a range of sensing options to ensure accurate operation in various industrial environments.
Играть в Rocket X https://sandiegoaviators.com/ru/rocket-x/ это настоящее приключение, способное погрузить вас в мир exhilarating эмоций и стратегического мышления. Начав своё путешествие в этой захватывающей игре, вы сразу же ощутите притяжение яркої графики и увлекательного геймплея. Каждый уровень требует от вас не только ловкости рук, но и способности быстро принимать решения. Вместе с друзьями или в одиночку, вы сможете отправиться в увлекательные миссии, где каждый старт ракетой будет окутан атмосферой азарта и азарта. Ключом к успеху становится не просто скорость, но и умение предугадывать действия соперников, ловко маневрируя между сложными препятствиями и выстраивая тактические стратегии.
My experience with retreat #19 fifteen years ago was transformative, and I’m grateful to be symptom-free today. However, I’ve noticed convalescent hospital some concerning signs with #18 and possibly #19, which makes me cautious. While I appreciate the value of retreats, I’m not eager to dive back in just yet. Monitoring feels essential now.
Pin up sayti pin-up-uz.fun shuningdek, o’z foydalanuvchilariga keng turdagi bonus tizimlari taklif etadi. Ushbu bonuslar yangi boshlovchilardan tortib tajribali o’yinchilargacha, hamma uchun mo’ljallangan. Foydalanuvchilar birinchi depozitlari ustidan bonus olish bilan bir qatorda, muntazam ravishda taklif etilayotgan promo-kodlar va maxsus aksiyalar orqali qo’shimcha mukofotlar egasi bo’lish imkoniyatiga ega. Bu esa o’yin jarayonini yana-da qiziqarli va foydali qiladi.
When I decided to upgrade the lighting in my flat, I had no idea where to start. After searching online, I came across Bonnypack https://bonnypack.com/ and was impressed by their selection of stylish lighting options. I ended up purchasing a sleek floor lamp and a couple of table lamps for my bedroom and living room. The prices were unbeatable, and I loved the convenience of free UK delivery. Everything arrived in perfect condition, and the lamps look fantastic in my space. It’s rare to find a company that combines variety, affordability, and quality so well. If you’re looking for affordable yet high-quality lighting, this is definitely the place to shop.
Gati House Shifting provides top-notch car carrier service from Bangalore to Hyderabad, offering reliable and safe transportation for all types of vehicles. Their experienced team ensures your car is securely loaded and well-protected throughout the journey. With real-time tracking and constant communication, they keep you updated on the status of your vehicle. Gati House Shifting’s commitment to timely delivery and customer satisfaction ensures a smooth and stress-free experience. Their competitive pricing and efficient process make them a preferred choice for anyone in need of safe vehicle transport to Hyderabad.
Looking for the perfect partner to elevate your trade show experience? Look no further than 123Displays. Their expertise in creating custom displays sets them apart as true professionals in the industry. Whether you’re showcasing a new product or building brand recognition, they bring your vision to life with cutting-edge designs and high-quality materials https://www.123displays.com/ .
Why 123Displays? The answer is simple—unmatched service, creativity, and attention to detail. Their team works closely with clients to ensure that every aspect of your trade show booth reflects your brand’s unique personality. With a wealth of experience, they understand the nuances of creating displays that not only catch the eye but also engage potential customers.
123Displays offers a broad range of options, from sleek, modern designs to more intricate setups that tell a story. Their commitment to delivering innovative solutions ensures that your booth stands out from the crowd and attracts attention for all the right reasons. Whether you need something simple or elaborate, they’ve got the perfect solution for you.
What makes 123Displays even more impressive is their customer-centric approach. They provide personalized consultations and are always ready to offer advice on the best materials, layout, and design features. Their goal is to make sure that every client walks away satisfied with their trade show presentation.
Have you ever wondered about the science behind predicting colours? Colour prediction, particularly in trading markets, is an intriguing topic that has gained attention recently. It’s fascinating to think that algorithms can actually predict the patterns of colours in various forms, even influencing decisions in Colour Trading.
The process of Colour Trading can be quite complex. It involves using advanced algorithms that analyze massive amounts of data. These algorithms look for trends in colour shifts, patterns in consumer preferences, and even seasonal changes. It’s almost like finding a secret code in the way colours evolve over time. By understanding how colours react to external influences, traders can predict their next movement and make informed decisions.
One of the key elements in Colour Trading is the application of machine learning and artificial intelligence. These technologies can process vast amounts of data in real-time, constantly learning and adapting to new information. With each prediction, the algorithm refines its understanding, becoming more accurate over time. It’s similar to how we, as humans, learn from past experiences to make better decisions in the future.
What makes Colour Trading even more interesting is how it blends art and science. On one hand, it’s based on hard data and mathematical models, while on the other hand, it requires an understanding of cultural and emotional connections to colours. Different colours can evoke specific feelings, and these emotional responses can influence market trends.
Been hunting for a solid CS 1.6 download myself, and trust me, the struggle is real! So many sites pack their clients with distracting skins and mods. If you just want a clean, playable version, I’d recommend checking out https://csget.me/ It was straightforward and got me right back into the classic gameplay I was looking for without any unnecessary fluff.
I’ve found the version on csget.me to be stable. It’s honestly refreshing to just focus on the game itself without being bogged down by custom stuff. If you’re tired of unreliable downloads and extra stuff, give it a try!
Incroyable de voir tant d’avantages avec 1win Côte D’Ivoire ! Ce qui frappe en premier, c’est la simplicité d’utilisation et l’adaptation parfaite aux besoins des joueurs ivoiriens. Tout est fluide, accessible et pensé pour offrir une expérience agréable https://1win-cotedivore.com/ .
L’un des grands points forts de 1win Côte D’Ivoire : Avantages locaux, c’est la diversité des méthodes de paiement. Que ce soit via mobile money ou d’autres solutions locales, les transactions sont rapides et sécurisées. Plus besoin de se soucier des délais interminables ou des complications inutiles, tout est optimisé pour la Côte d’Ivoire.
¡Alta nota, re bien escrita y atrapante! Me fascina este estilo. Un amigo también le pone mucha onda escribiendo sobre slots. Justo hace poco analizó Wanted Dead or a Wild y su manera de contarlo te hace sentir en pleno lejano oeste, igual que esta nota con su temática. https://wanted-dead-or-a-wild.ar/
Me apasiona el mundo de los casinos y las tragamonedas, siempre busco analizar cada detalle y compartir información valiosa. En su momento, descubrí los estudios de José Herrero y me impresionó su enfoque detallado y profundo. Examina a fondo slots como Día de los Muertos, resaltando su estética colorida, mecánicas y tácticas. Desde entonces, sigo su trabajo con interés y lo comparto, porque realmente beneficia a los jugadores. https://dia-de-los-muertos.ar/
Mientras exploraba Playuzu Casino https://playuzu-casino.com.mx/ me encontré con una experiencia gastronómica mucho mejor de lo que había anticipado. Después de unas horas de juego, decidí hacer una pausa y probar uno de sus restaurantes. Elegí el lugar que se especializaba en música en vivo y comida mexicana, y debo decir que fue una excelente elección. La comida no solo era deliciosa, sino que la atmósfera del lugar complementó perfectamente la experiencia. Poder disfrutar de un buen platillo mientras escuchaba música en vivo fue el descanso perfecto. Este tipo de experiencias en el casino pueden realmente intensificar el disfrute del tiempo que se pasa allí. Playuzu Casino no solo se enfoca en los juegos; también entiendo que valoran la experiencia global del cliente, y eso incluye ofrecer opciones gastronómicas de calidad. Mi pregunta es: ¿Cómo influye la experiencia gastronómica en tu visita a un casino?
My friend Taahid Mammen is a slot reviewer, and he has just released a brand-new review of the Tower X slot. In his latest analysis, he dives deep into the game’s features, mechanics, and winning potential. If you’re curious about Tower X, his review is definitely worth checking out! https://tower-x-slot.in/
My companion Taahid Mammen specializes in slot reviews and has recently unveiled an all-new analysis of the Money Coming slot. In his freshest breakdown, he thoroughly explores the slot’s mechanics, features, and payout potential. If you’re eager to learn more about Money Coming, his review is absolutely worth a look! https://money-coming-game.com/
Mi apreciado colega José Herrero ha dedicado años al estudio de los casinos y al análisis de distintas tragamonedas. Su experiencia le permite ofrecer reseñas detalladas que ayudan a los jugadores a tomar decisiones más acertadas. En su evaluación de Gladiator, destaca la emoción de cada giro, examina sus funciones únicas y comparte estrategias clave para optimizar las ganancias. https://gladiator-slot.ar/
Raja567 Casino is a modern online platform that offers a wide range of gambling games, including slots, table games and a live casino. Players can take advantage of generous bonuses, convenient payment methods and high security standards. With an intuitive interface and 24/7 support, Raja567 provides a comfortable and exciting gaming experience. https://raja567.casino/
King567 is a cutting-edge online gaming platform offering a vast selection of slots, table games, and live dealer options. Players enjoy generous bonuses, multiple payment methods, and top-notch security. With an intuitive design and 24/7 customer support, King567 ensures a smooth and exciting experience. https://king-567-casino.in/
Wow, 15 years! That’s quite a retreat. Reminds me of being trapped in Fnaf, waiting for the clock to strike six. Hope your experience was less about jump scares and more about genuine reflection. Seriously though, congrats on reaching such a milestone – a real achievement worthy of celebration. Hopefully it was more relaxing than surviving a night shift at Freddy Fazbear’s Pizza.
I remember when I first stumbled upon Omegle during a summer break. It was fascinating to connect with strangers from all over the world and hear their stories. It felt like a mini retreat from everyday life, much like your 15-year retreat recall sounds. If anyone’s looking to have spontaneous yet meaningful conversations, Omegle is a great place to start—it’s surprising how much you can learn from just a few minutes chatting with someone new.
It’s great to hear that you’re symptom-free now, Gary! Your experience with retreats really highlights the importance of monitoring health and being cautious. I can relate, as I attended a similar retreat a few years ago. It was insightful, but I also understand the hesitation about going back. For something a bit different, have you tried Snow Rider 3D? It’s a fun way to unwind and take your mind off things while enjoying some winter sports vibes!
Betgrouse casino UK offers players an exciting experience with a variety of slots and gambling games. Picture yourself stepping through a shimmering portal, transported to a realm where fortunes are won and lost in the blink of an eye. This is the experience that awaits you at Betgrouse, a virtual haven where the thrill of the casino floor merges seamlessly with the convenience of online play. Forget stuffy dress codes and crowded halls; at betgrouse, the excitement is always at your fingertips.
Really interesting case—especially how #19 has stayed symptom free for so long while #18 now looks questionable. I’ve seen similar situations where the “quiet” teeth end up surprising everyone later. Honestly, it reminds me how unpredictable things can be… a bit like when I played crazy cattle 3d recently. Thought it would be peaceful sheep, but nope—total chaos! At least it helps me laugh off the stress after reading dental cases like this.
It really resonates. That feeling of constantly learning and adjusting, never quite ‘mastering’ something… it reminds me of playing Doodle Baseball, haha. You think you’ve got the timing down, but then whiff! Another strike. But each at-bat teaches you something new, right? This post is like a great coach, helping me refine my swing in a whole different field.
https://jellresearchchems.com/product/ketamine-powder/
Today’s kids will never know the fun of this game Donkey Kong and the fun times overall. My the world has change
Gary your journey is inspiring. It is incredible that after 15 years you are symptom free from retreat #19. Your caution about #18 and the need for monitoring is well noted. Stay strong.
Aiken Mold Inspection Services Professionals
I would like to emphasize that this game is exceptional and quite pleasurable. Visit this platform to enjoy a free board game in your leisure time retro games, without the need for any downloads or sign-ups.
Fnaf is a fun game to play after work to relax. Now is the time to play Five Nights at Freddy’s 2. It will be fun.
Touchstone provide Best Ielts in Chandigarh .we offer personalized training sessions, experienced instructors, and a robust curriculum designed to help students achieve high scores. With a focus on all four key language skills—listening, reading, writing, and speaking—Best IELTS provides extensive practice materials, mock tests, and individualized feedback.
Your information is effective and extremely helpful; I love watching it as much as I love playing run 3, an incredibly fun infinite runner game every day.
At Rejuvenation Clinic, discover our transformative Hair Strengthening Treatments designed to revitalize and nourish your hair from root to tip. Our expert practitioners use innovative techniques and premium products to strengthen, repair, and enhance the health and vitality of your hair.
Experience luxury at Nawabs Hotels And Resorts’ the best hotel restaurants . Nestled in the picturesque Naran Valley, our hotel offers premium accommodations, breathtaking views, and top-notch amenities. Enjoy exceptional hospitality and comfort, making your stay at Lalazar Naran Hotel truly unforgettable.
Essen’s Limit Switch is a precision-engineered device designed to control the motion of machinery by detecting the position of moving parts. It features a durable construction, high reliability, and a range of sensing options to ensure accurate operation in various industrial environments.
无论您爱或恨Exams,考试对您的总分和GPA起着很重要作用。 虽然许多学生认为考试是一种不公平检查他们积累知识与技能的方式,但老师仍然采用各类Exam https://www.lunwenhelp.com/exam-daikao/ 为此目的,因此我们需要接受这个事实。 而我们在考试代考方面有丰富经验的专家将帮您避免exam带来的不眠之夜、压力与烦恼。
Играть в Rocket X https://sandiegoaviators.com/ru/rocket-x/ это настоящее приключение, способное погрузить вас в мир exhilarating эмоций и стратегического мышления. Начав своё путешествие в этой захватывающей игре, вы сразу же ощутите притяжение яркої графики и увлекательного геймплея. Каждый уровень требует от вас не только ловкости рук, но и способности быстро принимать решения. Вместе с друзьями или в одиночку, вы сможете отправиться в увлекательные миссии, где каждый старт ракетой будет окутан атмосферой азарта и азарта. Ключом к успеху становится не просто скорость, но и умение предугадывать действия соперников, ловко маневрируя между сложными препятствиями и выстраивая тактические стратегии.
My experience with retreat #19 fifteen years ago was transformative, and I’m grateful to be symptom-free today. However, I’ve noticed convalescent hospital some concerning signs with #18 and possibly #19, which makes me cautious. While I appreciate the value of retreats, I’m not eager to dive back in just yet. Monitoring feels essential now.
Pin up sayti pin-up-uz.fun shuningdek, o’z foydalanuvchilariga keng turdagi bonus tizimlari taklif etadi. Ushbu bonuslar yangi boshlovchilardan tortib tajribali o’yinchilargacha, hamma uchun mo’ljallangan. Foydalanuvchilar birinchi depozitlari ustidan bonus olish bilan bir qatorda, muntazam ravishda taklif etilayotgan promo-kodlar va maxsus aksiyalar orqali qo’shimcha mukofotlar egasi bo’lish imkoniyatiga ega. Bu esa o’yin jarayonini yana-da qiziqarli va foydali qiladi.
When I decided to upgrade the lighting in my flat, I had no idea where to start. After searching online, I came across Bonnypack https://bonnypack.com/ and was impressed by their selection of stylish lighting options. I ended up purchasing a sleek floor lamp and a couple of table lamps for my bedroom and living room. The prices were unbeatable, and I loved the convenience of free UK delivery. Everything arrived in perfect condition, and the lamps look fantastic in my space. It’s rare to find a company that combines variety, affordability, and quality so well. If you’re looking for affordable yet high-quality lighting, this is definitely the place to shop.
Gati House Shifting provides top-notch car carrier service from Bangalore to Hyderabad, offering reliable and safe transportation for all types of vehicles. Their experienced team ensures your car is securely loaded and well-protected throughout the journey. With real-time tracking and constant communication, they keep you updated on the status of your vehicle. Gati House Shifting’s commitment to timely delivery and customer satisfaction ensures a smooth and stress-free experience. Their competitive pricing and efficient process make them a preferred choice for anyone in need of safe vehicle transport to Hyderabad.
Looking for the perfect partner to elevate your trade show experience? Look no further than 123Displays. Their expertise in creating custom displays sets them apart as true professionals in the industry. Whether you’re showcasing a new product or building brand recognition, they bring your vision to life with cutting-edge designs and high-quality materials https://www.123displays.com/ .
Why 123Displays? The answer is simple—unmatched service, creativity, and attention to detail. Their team works closely with clients to ensure that every aspect of your trade show booth reflects your brand’s unique personality. With a wealth of experience, they understand the nuances of creating displays that not only catch the eye but also engage potential customers.
123Displays offers a broad range of options, from sleek, modern designs to more intricate setups that tell a story. Their commitment to delivering innovative solutions ensures that your booth stands out from the crowd and attracts attention for all the right reasons. Whether you need something simple or elaborate, they’ve got the perfect solution for you.
What makes 123Displays even more impressive is their customer-centric approach. They provide personalized consultations and are always ready to offer advice on the best materials, layout, and design features. Their goal is to make sure that every client walks away satisfied with their trade show presentation.
Have you ever wondered about the science behind predicting colours? Colour prediction, particularly in trading markets, is an intriguing topic that has gained attention recently. It’s fascinating to think that algorithms can actually predict the patterns of colours in various forms, even influencing decisions in Colour Trading.
The process of Colour Trading can be quite complex. It involves using advanced algorithms that analyze massive amounts of data. These algorithms look for trends in colour shifts, patterns in consumer preferences, and even seasonal changes. It’s almost like finding a secret code in the way colours evolve over time. By understanding how colours react to external influences, traders can predict their next movement and make informed decisions.
One of the key elements in Colour Trading is the application of machine learning and artificial intelligence. These technologies can process vast amounts of data in real-time, constantly learning and adapting to new information. With each prediction, the algorithm refines its understanding, becoming more accurate over time. It’s similar to how we, as humans, learn from past experiences to make better decisions in the future.
What makes Colour Trading even more interesting is how it blends art and science. On one hand, it’s based on hard data and mathematical models, while on the other hand, it requires an understanding of cultural and emotional connections to colours. Different colours can evoke specific feelings, and these emotional responses can influence market trends.
Been hunting for a solid CS 1.6 download myself, and trust me, the struggle is real! So many sites pack their clients with distracting skins and mods. If you just want a clean, playable version, I’d recommend checking out https://csget.me/ It was straightforward and got me right back into the classic gameplay I was looking for without any unnecessary fluff.
I’ve found the version on csget.me to be stable. It’s honestly refreshing to just focus on the game itself without being bogged down by custom stuff. If you’re tired of unreliable downloads and extra stuff, give it a try!
Incroyable de voir tant d’avantages avec 1win Côte D’Ivoire ! Ce qui frappe en premier, c’est la simplicité d’utilisation et l’adaptation parfaite aux besoins des joueurs ivoiriens. Tout est fluide, accessible et pensé pour offrir une expérience agréable https://1win-cotedivore.com/ .
L’un des grands points forts de 1win Côte D’Ivoire : Avantages locaux, c’est la diversité des méthodes de paiement. Que ce soit via mobile money ou d’autres solutions locales, les transactions sont rapides et sécurisées. Plus besoin de se soucier des délais interminables ou des complications inutiles, tout est optimisé pour la Côte d’Ivoire.
¡Alta nota, re bien escrita y atrapante! Me fascina este estilo. Un amigo también le pone mucha onda escribiendo sobre slots. Justo hace poco analizó Wanted Dead or a Wild y su manera de contarlo te hace sentir en pleno lejano oeste, igual que esta nota con su temática.
https://wanted-dead-or-a-wild.ar/
Me apasiona el mundo de los casinos y las tragamonedas, siempre busco analizar cada detalle y compartir información valiosa. En su momento, descubrí los estudios de José Herrero y me impresionó su enfoque detallado y profundo. Examina a fondo slots como Día de los Muertos, resaltando su estética colorida, mecánicas y tácticas. Desde entonces, sigo su trabajo con interés y lo comparto, porque realmente beneficia a los jugadores. https://dia-de-los-muertos.ar/
Mientras exploraba Playuzu Casino https://playuzu-casino.com.mx/ me encontré con una experiencia gastronómica mucho mejor de lo que había anticipado. Después de unas horas de juego, decidí hacer una pausa y probar uno de sus restaurantes. Elegí el lugar que se especializaba en música en vivo y comida mexicana, y debo decir que fue una excelente elección. La comida no solo era deliciosa, sino que la atmósfera del lugar complementó perfectamente la experiencia. Poder disfrutar de un buen platillo mientras escuchaba música en vivo fue el descanso perfecto. Este tipo de experiencias en el casino pueden realmente intensificar el disfrute del tiempo que se pasa allí. Playuzu Casino no solo se enfoca en los juegos; también entiendo que valoran la experiencia global del cliente, y eso incluye ofrecer opciones gastronómicas de calidad. Mi pregunta es: ¿Cómo influye la experiencia gastronómica en tu visita a un casino?
My friend Taahid Mammen is a slot reviewer, and he has just released a brand-new review of the Tower X slot. In his latest analysis, he dives deep into the game’s features, mechanics, and winning potential. If you’re curious about Tower X, his review is definitely worth checking out! https://tower-x-slot.in/
My companion Taahid Mammen specializes in slot reviews and has recently unveiled an all-new analysis of the Money Coming slot. In his freshest breakdown, he thoroughly explores the slot’s mechanics, features, and payout potential. If you’re eager to learn more about Money Coming, his review is absolutely worth a look! https://money-coming-game.com/
Mi apreciado colega José Herrero ha dedicado años al estudio de los casinos y al análisis de distintas tragamonedas. Su experiencia le permite ofrecer reseñas detalladas que ayudan a los jugadores a tomar decisiones más acertadas. En su evaluación de Gladiator, destaca la emoción de cada giro, examina sus funciones únicas y comparte estrategias clave para optimizar las ganancias. https://gladiator-slot.ar/
Raja567 Casino is a modern online platform that offers a wide range of gambling games, including slots, table games and a live casino. Players can take advantage of generous bonuses, convenient payment methods and high security standards. With an intuitive interface and 24/7 support, Raja567 provides a comfortable and exciting gaming experience. https://raja567.casino/
King567 is a cutting-edge online gaming platform offering a vast selection of slots, table games, and live dealer options. Players enjoy generous bonuses, multiple payment methods, and top-notch security. With an intuitive design and 24/7 customer support, King567 ensures a smooth and exciting experience. https://king-567-casino.in/
Wow, 15 years! That’s quite a retreat. Reminds me of being trapped in Fnaf, waiting for the clock to strike six. Hope your experience was less about jump scares and more about genuine reflection. Seriously though, congrats on reaching such a milestone – a real achievement worthy of celebration. Hopefully it was more relaxing than surviving a night shift at Freddy Fazbear’s Pizza.
I remember when I first stumbled upon Omegle during a summer break. It was fascinating to connect with strangers from all over the world and hear their stories. It felt like a mini retreat from everyday life, much like your 15-year retreat recall sounds. If anyone’s looking to have spontaneous yet meaningful conversations, Omegle is a great place to start—it’s surprising how much you can learn from just a few minutes chatting with someone new.
If you like to have fun online, please go to our website Wacky flip. We often add new and popular games for free.
It’s great to hear that you’re symptom-free now, Gary! Your experience with retreats really highlights the importance of monitoring health and being cautious. I can relate, as I attended a similar retreat a few years ago. It was insightful, but I also understand the hesitation about going back. For something a bit different, have you tried Snow Rider 3D? It’s a fun way to unwind and take your mind off things while enjoying some winter sports vibes!
Betgrouse casino UK offers players an exciting experience with a variety of slots and gambling games. Picture yourself stepping through a shimmering portal, transported to a realm where fortunes are won and lost in the blink of an eye. This is the experience that awaits you at Betgrouse, a virtual haven where the thrill of the casino floor merges seamlessly with the convenience of online play. Forget stuffy dress codes and crowded halls; at betgrouse, the excitement is always at your fingertips.
Traffic Rider is easy to use and has a simple layout. It’s easy to use the brake, speed up, and steering buttons while you’re moving.
Really interesting case—especially how #19 has stayed symptom free for so long while #18 now looks questionable. I’ve seen similar situations where the “quiet” teeth end up surprising everyone later. Honestly, it reminds me how unpredictable things can be… a bit like when I played crazy cattle 3d recently. Thought it would be peaceful sheep, but nope—total chaos! At least it helps me laugh off the stress after reading dental cases like this.
It really resonates. That feeling of constantly learning and adjusting, never quite ‘mastering’ something… it reminds me of playing Doodle Baseball, haha. You think you’ve got the timing down, but then whiff! Another strike. But each at-bat teaches you something new, right? This post is like a great coach, helping me refine my swing in a whole different field.