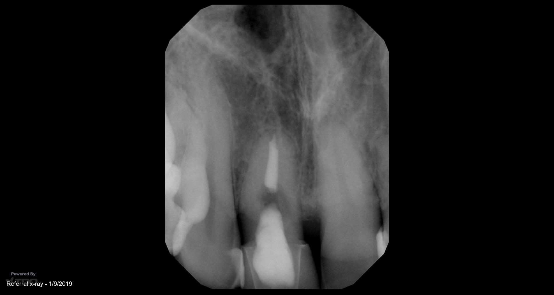
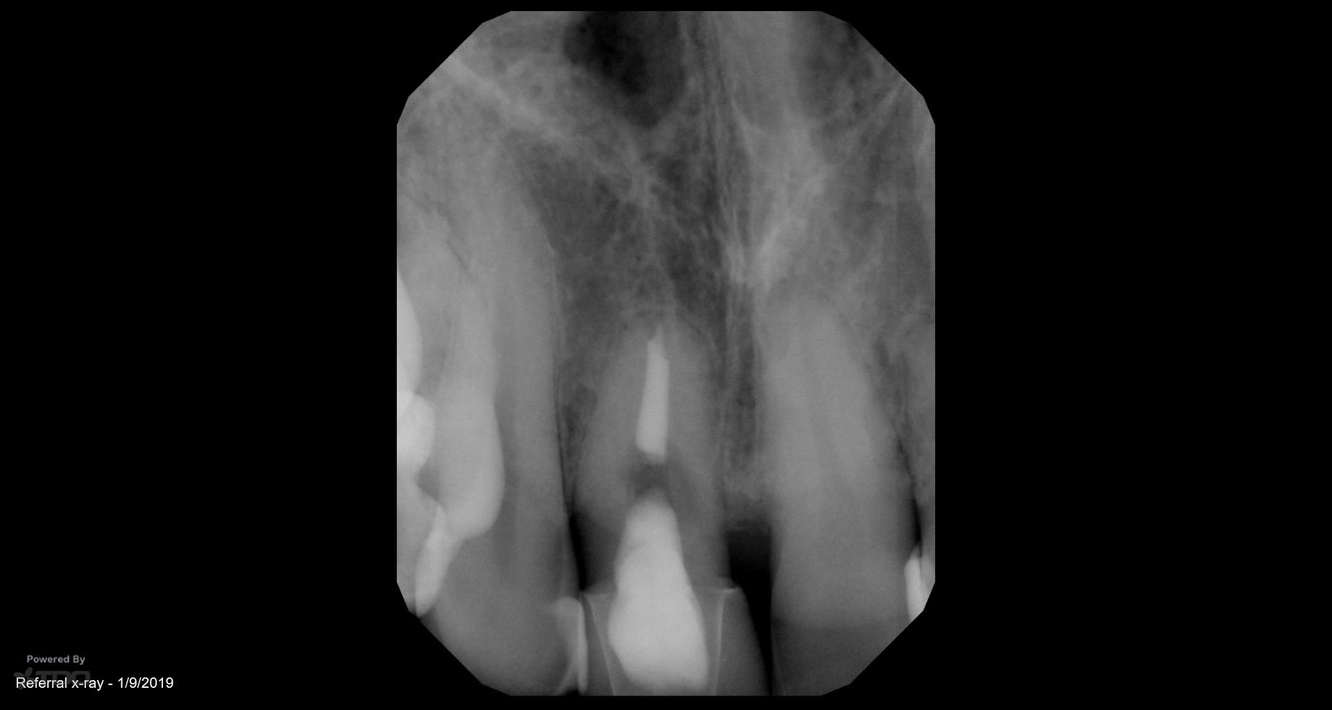
I did this RCT 34 years ago when the patient was 14. Now there is a parulis and lingual palpation sensitivity. Extract or treat? Patient has a very high smile line, thin biotype, is sensitive to costs. gbc
What is the treatment option being considered? Can you flap and repair? The lesion appears well-demarcated, without bone ingrowth, so it may be a simple repair with minimal ostectomy. If the patient can tolerate a couple black triangles (despite only flapping the palatal), then I might do it.
What other information do you have that can help make a decision?
What is the treatment option being considered? Can you flap and repair? The lesion appears well-demarcated, without bone ingrowth, so it may be a simple repair with minimal ostectomy. If the patient can tolerate a couple black triangles (despite only flapping the palatal), then I might do it.
What other information do you have that can help make a decision?