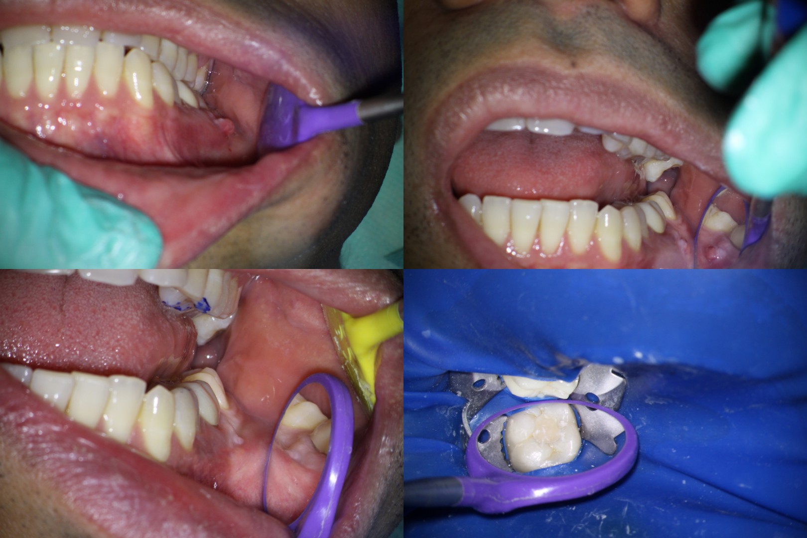
Pt 42 YOM reported with pain and sinus opening in relation to #19. Retreatment access started through the crown, retrieved GP, located, cleaned and shaped missed disto-buccal canal. Gave CAOH intermittent dressing for 6 months. Since I noticed leakage and discoloration in the crown margins, removed the crown, cleaned the chamber , and completed with the composite core.





A writing service review helps users find the best options for their needs. For informative tips, visit https://speedypaper.com/blog/how-to-write-an-informative-essay, which offers advice on essay structure and improving your writing content creation process.