Not sure what pulp testing brings to the table here, other than developing a historical record of the tests. ECIR, even ECIR Class III and IV, usually test WNL—-so what is testing accomplishing? Generally we don’t run tests unless they can alter our action threshold and I can’t see any test result here that can do that. I’m not touching this tooth no matter what the test results are.
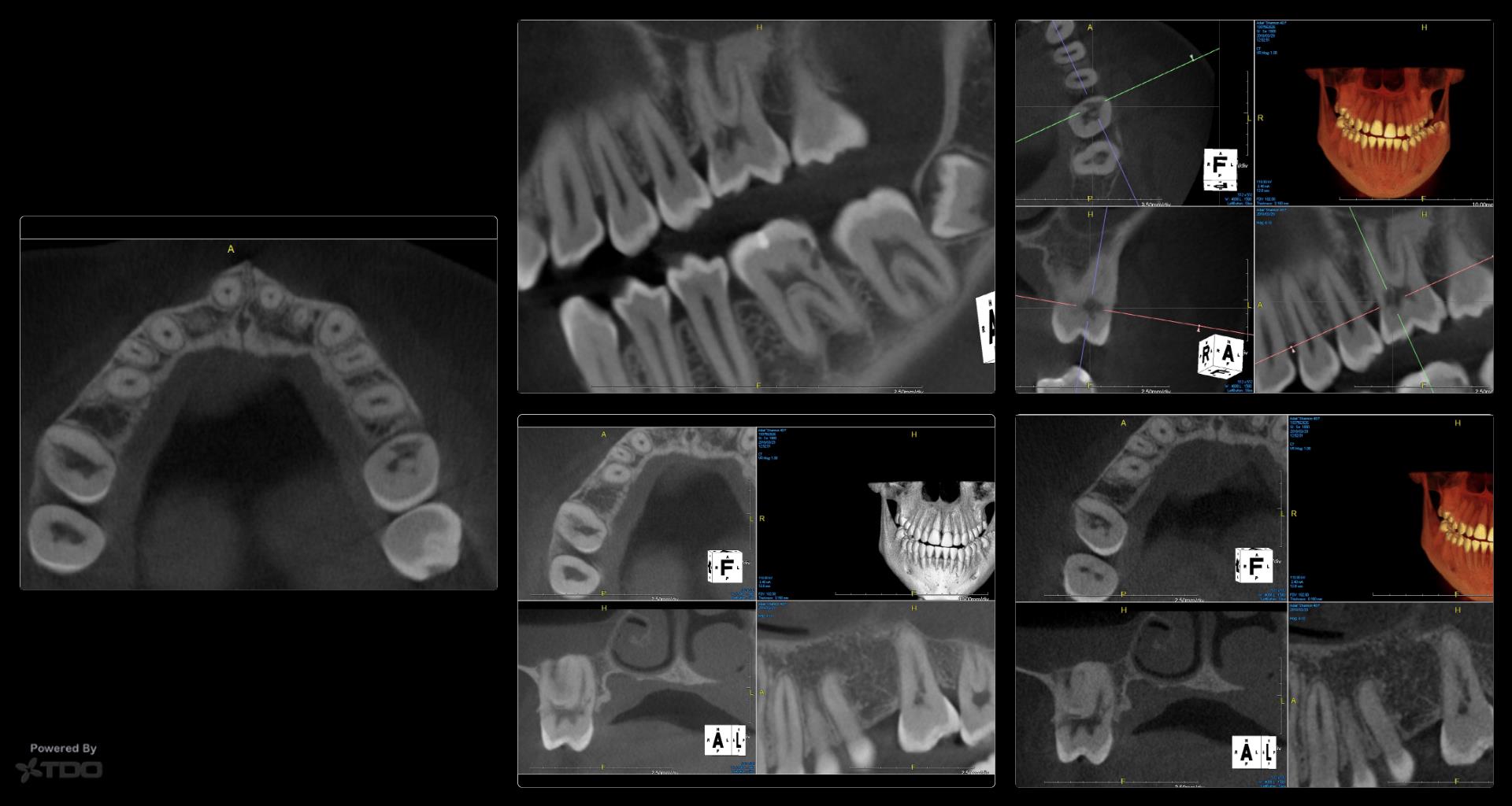
On Craig’s comments, I agree, on a Class II or Class III ECIR, if the defects were just on the distal—I might be tempted. We all have cases where these sorts of cases are successful. Many have been posted on TDO Clinical for many years. But , if you look carefully, the resorption is also extensive in the furcal area and here—I think the prognosis is poorer. I haven’t attempted many of these so am open to alternative views—but it would take a lot to convince me.
The answer I wanted, given the history of ortho, is that you want to scan other areas of the mouth to see if other areas are involved as well.
Thank you for the tip. It is helpful to be reminded of the potential for other sites of resorption.
Point of clarification, if you don’t mind. Are you saying that the tests were distracting from the main purpose of this post? Or that you didn’t perform any tests in this case?
Brandon,
We have had a long and contentious discussion on TDO about “Tests and Testing” extending over many years with an almost uniform conclusion among our users that most dentists don’t understand the role of tests, or even how to interpret them in a way that engenders smarter decision making. So I was trying to engender a discussion about that in responding to the query about running additional tests.
Technically, I did run some tests to confirm the patient’s claim that the tooth was asymptomatic. Percussion, palpation, chewing, bite tests, probing test, etc. And the CBCT itself should be considered a test; it’s an imaging test.
But after these tests, there is no other test that is going to change my action-threshold on a case like this—and since the purpose of doing tests is to affect your decision to intervene—or to put it a better way—-to help you make the smartest bet, no further testing with this case makes much sense to me—other than the aformentioned desire to have a historical record of such tests.
Where did I say I was “so sure” about anything? I leave being “so sure” about decisions having to do with ECIR, to others.
Indeed, decisions about ECIR are dominated by uncertainty and in environments dominated by uncertainty, one should be humble about what one knows with certainty and what one doesn’t know.
What do we know about ECIR?
1. We know we have a poor understanding of its genesis, progression, and to what extent our treatments are always beneficial.
2. We know the disease progression is episodic and not predicable and we lack knowledge of the triggering events.
3. We know that it is possible that well-intentioned treatments often times accelerate the time to tooth loss and that some patients seem to benefit more from observation instead of treatment.
4. And lastly, we know that successful treatment may be related to cutting off the vascular channels in sub-osseous defects and restoring those areas competently.
Given what we know, and being mindful of all we don’t know, my decision of no treatment is dominated by the consideration of a Class III ECIR with very evident furcal evidence of resorption (where there is no access to the vascular channels) and hence the “smartest bet” is avoid the impulse to be a hero.
This mindset is hardly what I would characterize as being “so sure” of anything.
Given the patients age and history of orthodontic treatment it may be prudent to conduct a comprehensive physical examination to ensure there are no overlooked issues contributing to the asymptomatic presentation. HVAC Services in Vernon BC
How about testing the teeth? What were the clinical findings?
DIAGNOSIS– Pulp tests
Not sure what pulp testing brings to the table here, other than developing a historical record of the tests. ECIR, even ECIR Class III and IV, usually test WNL—-so what is testing accomplishing? Generally we don’t run tests unless they can alter our action threshold and I can’t see any test result here that can do that. I’m not touching this tooth no matter what the test results are.
On Craig’s comments, I agree, on a Class II or Class III ECIR, if the defects were just on the distal—I might be tempted. We all have cases where these sorts of cases are successful. Many have been posted on TDO Clinical for many years. But , if you look carefully, the resorption is also extensive in the furcal area and here—I think the prognosis is poorer. I haven’t attempted many of these so am open to alternative views—but it would take a lot to convince me.
The answer I wanted, given the history of ortho, is that you want to scan other areas of the mouth to see if other areas are involved as well.
gbc
For example in this same case…….
Thank you for the tip. It is helpful to be reminded of the potential for other sites of resorption.
Point of clarification, if you don’t mind. Are you saying that the tests were distracting from the main purpose of this post? Or that you didn’t perform any tests in this case?
Brandon,
We have had a long and contentious discussion on TDO about “Tests and Testing” extending over many years with an almost uniform conclusion among our users that most dentists don’t understand the role of tests, or even how to interpret them in a way that engenders smarter decision making. So I was trying to engender a discussion about that in responding to the query about running additional tests.
Technically, I did run some tests to confirm the patient’s claim that the tooth was asymptomatic. Percussion, palpation, chewing, bite tests, probing test, etc. And the CBCT itself should be considered a test; it’s an imaging test.
But after these tests, there is no other test that is going to change my action-threshold on a case like this—and since the purpose of doing tests is to affect your decision to intervene—or to put it a better way—-to help you make the smartest bet, no further testing with this case makes much sense to me—other than the aformentioned desire to have a historical record of such tests.
Makes sense. Thank you for clarifying!
Thank you Dr.Carr for the orientation on the tests and decision making.
You mentioned that you are not going to touch the tooth — poor prognosis
— How do you discuss this with the patient?
Where did I say I was “so sure” about anything? I leave being “so sure” about decisions having to do with ECIR, to others.
Indeed, decisions about ECIR are dominated by uncertainty and in environments dominated by uncertainty, one should be humble about what one knows with certainty and what one doesn’t know.
What do we know about ECIR?
1. We know we have a poor understanding of its genesis, progression, and to what extent our treatments are always beneficial.
2. We know the disease progression is episodic and not predicable and we lack knowledge of the triggering events.
3. We know that it is possible that well-intentioned treatments often times accelerate the time to tooth loss and that some patients seem to benefit more from observation instead of treatment.
4. And lastly, we know that successful treatment may be related to cutting off the vascular channels in sub-osseous defects and restoring those areas competently.
Given what we know, and being mindful of all we don’t know, my decision of no treatment is dominated by the consideration of a Class III ECIR with very evident furcal evidence of resorption (where there is no access to the vascular channels) and hence the “smartest bet” is avoid the impulse to be a hero.
This mindset is hardly what I would characterize as being “so sure” of anything.
Given the patients age and history of orthodontic treatment it may be prudent to conduct a comprehensive physical examination to ensure there are no overlooked issues contributing to the asymptomatic presentation.
HVAC Services in Vernon BC