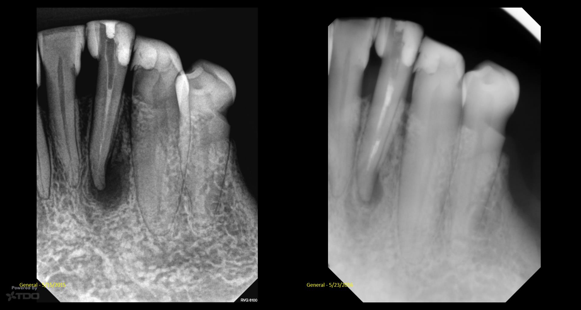
It’s a little embarrassing…but I have been treating a tooth of Joy’s for 5 years….Multiple CaOH visits over those 5 years. Coulod never get the area to resolve. Finally tried a GW on it…..1 yr recall today. gbc
hey
Understanding patient safety is fundamental in healthcare education. The essay I found at https://www.nursingpaper.com/examples/patient-safety-essay/ is a testament to this. It offers an in-depth analysis of patient safety protocols and their implementation, making it an essential resource for anyone looking to deepen their understanding of this critical aspect of healthcare. The comprehensive nature of this essay has greatly enhanced my knowledge and practical application in the field of nursing
Nice post. I learn something harder on various blogs every day. It will always be stimulating to learn content from their writers and rehearse a little something from their site. I’d want to use some together with the content on my blog write my assignment you don’t mind. Natually I’ll provide you with a link to your internet blog. Many thanks for sharing.
Run 3 provides an addictive and challenging endless running experience with its gravity-defying mechanics and progressively difficult levels, making it a favorite among fans of the genre.
Embark on a journey of elegance with Luxury Limos, your ultimate choice for Airport Limo Service. Our commitment to luxury and reliability shines through in every ride, as our professional chauffeurs deliver a seamless and opulent airport transfer experience.
I am a medical student and I got good information from your post about my studies. And now I’m talking about fashion in this winter season, this Michelle Keegan Fool Me Once Quilted Leather Jacket is my best pick.
By communicating with the online customer service of nursing ghostwriting https://www.lxws.net/nursingdaixie.html agencies, evaluate their professionalism: whether the response is timely and the attitude is good or bad, and directly exclude writing agencies without customer service.
Writing a dissertation is a marathon, not a sprint. Whether you’re wrestling with theory, stuck on analysis, or just struggling to string sentences together, the dissertation experts at My Assignment Help have you covered. Their native PhD writers produce 100% original work, guaranteed plagiarism-free and backed by a full satisfaction/refund policy. Need a supportive ear at 3 AM? Reach out to their 24/7 live support. And with the best prices in the industry, you can finally take a deep breath—because high quality doesn’t have to mean high costs. Reclaim your sanity by getting the dissertation done right.
I appreciate you taking the time to teach me this, and I promise to put it to good use. If you’re seeking a fantastic website that also provides free entertainment alternatives, you should check out poppy playtime unblocked.
Get a healthy vegetarian meal plan delivery in Dubai, UAE, from BalancedBites. Savor tasty, nutrient-dense plant-based meals that are delivered right to your house. Our customized meal service allows you to enjoy convenience without sacrificing your dietary requirements.
To fulfill your academic goals, Osh University provides a variety of Medical education abroad options. Our extensive curriculum guarantees a well-rounded educational experience that encourages growth on both a professional and personal scale. You are able to depend on Osh University to give you with a top-notch education and the expertise and skills you need to succeed in your chosen industry.
Retreat to lalazar and escape the hustle and bustle of everyday life. Let the soothing sounds of nature rejuvenate your spirit as you unwind amidst serene surroundings and picturesque landscapes.
Discover the joy of wearing the best faux leather jackets designed to make you happy. Visit our site now and find your perfect jacket. red faux leather jacket womens
“I read your blog every time; it’s always commendable. Just like before, please continue to provide us with information through your blog and keep writing great posts. Thank you!”you can check also Faux Fur Leather Jacket
Siempre he tenido dudas sobre los casinos en línea, pero recientemente decidí darles una oportunidad. Un amigo me habló de un bono sin depósito de 10 euros que estaba disponible en algunos casinos. Buscando información confiable, encontré un artículo detallado en esta página https://revizorro.org/10-euros-gratis-sin-deposito-casino/. Lo que me atrajo de este bono es que no requería invertir dinero propio, lo cual me pareció ideal para alguien como yo, que es completamente nuevo en este tema. Registrarme fue sencillo, y activé el bono en pocos minutos. Lo usé para explorar varios juegos, desde tragamonedas hasta ruletas, y me impresionó lo intuitiva que era la plataforma. Aunque no gané cantidades significativas, disfruté mucho la experiencia y aprendí cómo funcionan las apuestas. Creo que es una excelente forma de comenzar sin comprometer dinero propio. ¿Qué opinan ustedes? ¿Conocen otros bonos similares que pueda probar?
Your blog is truly commendable; it is very knowledgeable and also easy to read. I have gained a lot of help from your informative blog. Thank you so much, and please continue posting such positive blogs. You can also check womens leather bomber jacket
Uma das coisas que mais me impressionou ao jogar Fortune Tiger foi a qualidade dos gráficos e dos sons. Desde o primeiro giro, fui atraído pelas animações vibrantes e pela representação do tigre da fortuna. A atenção aos detalhes realmente torna a experiência mais imersiva. Cada vez que uma combinação vencedora aparece, a música animada e os efeitos sonoros aumentam a emoção. Sinto que a experiência de jogo não é apenas sobre ganhar, mas também sobre como me sinto ao jogar. As cores vivas e a música empolgante fazem com que cada giro seja uma pequena festa. Estou sempre ansioso para ver como o jogo lida com novos prêmios e como as animações evoluem. Isso realmente adiciona um nível extra de entusiasmo. Minha paixão por jogos de slot se intensificou após experimentar Fortune Tiger https://tigrinho-fortunetiger.com/ e isso deve-se em grande parte ao seu design envolvente. Se você ainda não jogou, está perdendo uma experiência visual e sonora encantadora!
Przegląd gry w Lemon Casino https://lemoncasinoplay.com/ to doskonała okazja, by doświadczyć wielości tematów i stylów, które oferuje ta platforma. Oferując szeroki wybór gier, od klasycznych automatów po nowoczesne sloty z filmowymi motywami, Lemon Casino może zaspokoić różne gusta graczy. Każda gra charakteryzuje się wysoką jakością grafiki i dźwięku, co sprawia, że gra staje się bardziej angażująca. Co więcej, wiele gier oferuje ciekawe funkcje bonusowe, które potrafią znacznie zwiększyć potencjalne wygrane. Udało mi się również odkryć gry stołowe, takie jak blackjack i ruletka, które są niesamowicie interaktywne i dają mi szansę na konfrontację z dealerem w czasie rzeczywistym. Ogólnie rzecz biorąc, przegląd gier w Lemon Casino pokazuje, jak zróżnicowana i ekscytująca może być zabawa na tej platformie.
Mexplay alberga una extensa colección de tragamonedas, desde los clásicos de frutas hasta las más modernas con gráficos impresionantes y temáticas innovadoras. Trabajamos con los proveedores de software más prestigiosos, garantizando juegos justos y de alta calidad. Mexplay alberga una extensa colección de tragamonedas, desde los clásicos https://casino-mexplay.com/ de frutas hasta las más modernas con gráficos impresionantes y temáticas innovadoras. Trabajamos con los proveedores de software más prestigiosos, garantizando juegos justos y de alta calidad.
It’s important to stay up to date on recalls and ensure that proper actions are taken to maintain the safety and reliability of products. Similarly, in project management, staying informed about https://www.epicflow.com/blog/current-trends-in-project-management-what-to-prepare-for/ can help professionals anticipate changes, embrace new methodologies, and optimize project success. Just as product recalls require swift attention to avoid further issues, staying ahead of trends in project management ensures that projects are executed effectively, avoiding delays and costly mistakes.
Finding the best online casinos betonwincasinos.com has become a passion of mine. With the sheer number of options available, I’ve learned to evaluate casinos based on several factors: game variety, customer service, and payout speed. I usually begin by looking for platforms that offer an extensive game library. Whether I want to play slots, table games, or live dealer options, having a wide selection ensures that I won’t get bored easily. Casino apps with easy navigation and appealing design add to the overall experience, making it more enjoyable. Another crucial aspect is bonuses. The best casinos often have generous welcome bonuses and ongoing promotions that provide extra value. I find that I can stretch my bankroll further with these incentives, which makes every gaming session more exciting. Customer support is another key factor. I prefer casinos that offer 24/7 support via live chat or email. It gives me peace of mind, knowing that assistance is available if I encounter any issues.
The article on the one-year recall highlights the importance of continuous evaluation and improvement in professional practices. This principle is equally vital in education. For instance, Ivars Sormulis has emphasized the significance of regular assessments and feedback in academic settings. His insights underscore how systematic reviews can enhance both teaching methodologies and student outcomes. 
It’s great to see discussions around maintaining quality and ensuring that everything functions as expected. Similarly, in software development, ensuring high-quality code is crucial for long-term success. If you’re looking to improve your code’s reliability and performance, this article on code quality provides valuable insights: https://devcom.com/tech-blog/code-quality-definition-how-to-improve-code-quality/. It outlines practical steps to improve code quality, helping you avoid errors and improve the maintainability of your projects, much like ensuring that systems are properly maintained and reliable over time.
Great insights shared in this article! Regular recall visits are crucial for long-term dental health. On a different note, while managing my studies in health sciences, I’ve been juggling tech subjects too. If anyone here is also a student and needs computer network assignment help, I found some great academic support services recently. Happy to share resources!
The concept of Ashtamangala holds deep spiritual significance in Jainism, symbolizing auspiciousness and purity.
The Jain Ashtamangala name includes eight sacred symbols like the Swastika, Shrivatsa, and Kalasha, each carrying profound meaning. These symbols are often seen in rituals and temple art, reminding devotees of Jain values. It’s fascinating how each element connects to core philosophical teachings.
Struggling with marketing research reports? Marketing assignment help providers offer comprehensive support with data analysis and report writing, saving you valuable time. Definitely recommended for busy students striving for academic success.
Wow, 5 years is a long haul for one tooth, Gary! I can totally relate to those seemingly endless cases. Sometimes you just gotta pull out the big guns (GW in this case!). That feeling when you finally see improvement after so much effort is just the best. It’s like when I’m playing Eggy Car, and I’ve been stuck on a level forever, constantly dropping that darn egg… then suddenly, BAM! I make it. That little victory jolt is so satisfying. Congrats on the successful recall!
What a meaningful reflection — it’s amazing to see how growth and learning evolve over a year. I appreciate the honesty and warmth in this update. It’s those small milestones that shape both work and personal confidence. I love pieces like Stranger Things Merchandise that also carry a sense of story and transformation.
Seadweer is a distributor and supplier of Atlas Copco air compressor, only sell genuine guarantee air compressors and original genuine spare parts at https://www.aircompressoragent.com/
Interesting recall of GW’s first year at TDO University—great insights and memories shared. Really enjoyed the perspective and details. Anyone wanting to explore more related updates and resources can simply click here and check it out!
Your essay contains the type of high-quality writing @drift boss
hey
Understanding patient safety is fundamental in healthcare education. The essay I found at https://www.nursingpaper.com/examples/patient-safety-essay/ is a testament to this. It offers an in-depth analysis of patient safety protocols and their implementation, making it an essential resource for anyone looking to deepen their understanding of this critical aspect of healthcare. The comprehensive nature of this essay has greatly enhanced my knowledge and practical application in the field of nursing
Nice post. I learn something harder on various blogs every day. It will always be stimulating to learn content from their writers and rehearse a little something from their site. I’d want to use some together with the content on my blog write my assignment you don’t mind. Natually I’ll provide you with a link to your internet blog. Many thanks for sharing.
Run 3 provides an addictive and challenging endless running experience with its gravity-defying mechanics and progressively difficult levels, making it a favorite among fans of the genre.
Embark on a journey of elegance with Luxury Limos, your ultimate choice for Airport Limo Service. Our commitment to luxury and reliability shines through in every ride, as our professional chauffeurs deliver a seamless and opulent airport transfer experience.
I am a medical student and I got good information from your post about my studies. And now I’m talking about fashion in this winter season, this Michelle Keegan Fool Me Once Quilted Leather Jacket is my best pick.
I really amazed to read this blog post. It is so unique and informative. Shearling and Fur Coats
Hello. Thanks to the website https://valhallavitality.com/blog/exploring-enclomiphene-a-promising-prospect-in-enhancing-male-fertility , I learned in detail about the drug Enclofimen. The authors have described in the best possible way all the areas it can treat. All the information is true, as medical studies have been conducted that have shown the effectiveness of this drug.
By communicating with the online customer service of nursing ghostwriting https://www.lxws.net/nursingdaixie.html agencies, evaluate their professionalism: whether the response is timely and the attitude is good or bad, and directly exclude writing agencies without customer service.
通过跟Assignment代写 http://www.cieae.net/assignment 机构的在线客服的交流来对其专业性进行评判:回复是否准时、态度好坏,没有客服的机构直接排除。
Embodying the essence of 80s action, this jacket is a symbol of rugged adventure. The Fall Guy Red Jacket.Shop Now
Writing a dissertation is a marathon, not a sprint. Whether you’re wrestling with theory, stuck on analysis, or just struggling to string sentences together, the dissertation experts at My Assignment Help have you covered. Their native PhD writers produce 100% original work, guaranteed plagiarism-free and backed by a full satisfaction/refund policy. Need a supportive ear at 3 AM? Reach out to their 24/7 live support. And with the best prices in the industry, you can finally take a deep breath—because high quality doesn’t have to mean high costs. Reclaim your sanity by getting the dissertation done right.
I appreciate you taking the time to teach me this, and I promise to put it to good use. If you’re seeking a fantastic website that also provides free entertainment alternatives, you should check out poppy playtime unblocked.
Get a healthy vegetarian meal plan delivery in Dubai, UAE, from BalancedBites. Savor tasty, nutrient-dense plant-based meals that are delivered right to your house. Our customized meal service allows you to enjoy convenience without sacrificing your dietary requirements.
To fulfill your academic goals, Osh University provides a variety of Medical education abroad options. Our extensive curriculum guarantees a well-rounded educational experience that encourages growth on both a professional and personal scale. You are able to depend on Osh University to give you with a top-notch education and the expertise and skills you need to succeed in your chosen industry.
Retreat to lalazar and escape the hustle and bustle of everyday life. Let the soothing sounds of nature rejuvenate your spirit as you unwind amidst serene surroundings and picturesque landscapes.
还在为教授布置的各种Assignment而烦恼吗?还在为确定不出Assignment选题而着急吗?还在日夜构思却拼凑不出一份完整的Assignment而无奈吗?Top论文网专属定制Assignment代写 https://www.lunwentop.net/assignment-daixie/ 帮手解决您的一切论文写作难题!
Discover the joy of wearing the best faux leather jackets designed to make you happy. Visit our site now and find your perfect jacket. red faux leather jacket womens
ACL Imports offers a high-quality bedding range like Bedsheets, Bed Sets, Duvets, Duvet sets, Pillows, Neck Pillow, King Size Protective Mattress Cover, Toweling Bath Robe & more. Affordable price, bulk quantity available.
Elevate your everyday look with trendy pieces from Zing Apparel exclusives collection that speak to your style at Halloween.
“I read your blog every time; it’s always commendable. Just like before, please continue to provide us with information through your blog and keep writing great posts. Thank you!”you can check also Faux Fur Leather Jacket
Siempre he tenido dudas sobre los casinos en línea, pero recientemente decidí darles una oportunidad. Un amigo me habló de un bono sin depósito de 10 euros que estaba disponible en algunos casinos. Buscando información confiable, encontré un artículo detallado en esta página https://revizorro.org/10-euros-gratis-sin-deposito-casino/. Lo que me atrajo de este bono es que no requería invertir dinero propio, lo cual me pareció ideal para alguien como yo, que es completamente nuevo en este tema. Registrarme fue sencillo, y activé el bono en pocos minutos. Lo usé para explorar varios juegos, desde tragamonedas hasta ruletas, y me impresionó lo intuitiva que era la plataforma. Aunque no gané cantidades significativas, disfruté mucho la experiencia y aprendí cómo funcionan las apuestas. Creo que es una excelente forma de comenzar sin comprometer dinero propio. ¿Qué opinan ustedes? ¿Conocen otros bonos similares que pueda probar?
Your blog is truly commendable; it is very knowledgeable and also easy to read. I have gained a lot of help from your informative blog. Thank you so much, and please continue posting such positive blogs. You can also check womens leather bomber jacket
Uma das coisas que mais me impressionou ao jogar Fortune Tiger foi a qualidade dos gráficos e dos sons. Desde o primeiro giro, fui atraído pelas animações vibrantes e pela representação do tigre da fortuna. A atenção aos detalhes realmente torna a experiência mais imersiva. Cada vez que uma combinação vencedora aparece, a música animada e os efeitos sonoros aumentam a emoção. Sinto que a experiência de jogo não é apenas sobre ganhar, mas também sobre como me sinto ao jogar. As cores vivas e a música empolgante fazem com que cada giro seja uma pequena festa. Estou sempre ansioso para ver como o jogo lida com novos prêmios e como as animações evoluem. Isso realmente adiciona um nível extra de entusiasmo. Minha paixão por jogos de slot se intensificou após experimentar Fortune Tiger https://tigrinho-fortunetiger.com/ e isso deve-se em grande parte ao seu design envolvente. Se você ainda não jogou, está perdendo uma experiência visual e sonora encantadora!
Przegląd gry w Lemon Casino https://lemoncasinoplay.com/ to doskonała okazja, by doświadczyć wielości tematów i stylów, które oferuje ta platforma. Oferując szeroki wybór gier, od klasycznych automatów po nowoczesne sloty z filmowymi motywami, Lemon Casino może zaspokoić różne gusta graczy. Każda gra charakteryzuje się wysoką jakością grafiki i dźwięku, co sprawia, że gra staje się bardziej angażująca. Co więcej, wiele gier oferuje ciekawe funkcje bonusowe, które potrafią znacznie zwiększyć potencjalne wygrane. Udało mi się również odkryć gry stołowe, takie jak blackjack i ruletka, które są niesamowicie interaktywne i dają mi szansę na konfrontację z dealerem w czasie rzeczywistym. Ogólnie rzecz biorąc, przegląd gier w Lemon Casino pokazuje, jak zróżnicowana i ekscytująca może być zabawa na tej platformie.
Mexplay alberga una extensa colección de tragamonedas, desde los clásicos de frutas hasta las más modernas con gráficos impresionantes y temáticas innovadoras. Trabajamos con los proveedores de software más prestigiosos, garantizando juegos justos y de alta calidad. Mexplay alberga una extensa colección de tragamonedas, desde los clásicos https://casino-mexplay.com/ de frutas hasta las más modernas con gráficos impresionantes y temáticas innovadoras. Trabajamos con los proveedores de software más prestigiosos, garantizando juegos justos y de alta calidad.
It’s important to stay up to date on recalls and ensure that proper actions are taken to maintain the safety and reliability of products. Similarly, in project management, staying informed about https://www.epicflow.com/blog/current-trends-in-project-management-what-to-prepare-for/ can help professionals anticipate changes, embrace new methodologies, and optimize project success. Just as product recalls require swift attention to avoid further issues, staying ahead of trends in project management ensures that projects are executed effectively, avoiding delays and costly mistakes.
Finding the best online casinos betonwincasinos.com has become a passion of mine. With the sheer number of options available, I’ve learned to evaluate casinos based on several factors: game variety, customer service, and payout speed. I usually begin by looking for platforms that offer an extensive game library. Whether I want to play slots, table games, or live dealer options, having a wide selection ensures that I won’t get bored easily. Casino apps with easy navigation and appealing design add to the overall experience, making it more enjoyable. Another crucial aspect is bonuses. The best casinos often have generous welcome bonuses and ongoing promotions that provide extra value. I find that I can stretch my bankroll further with these incentives, which makes every gaming session more exciting. Customer support is another key factor. I prefer casinos that offer 24/7 support via live chat or email. It gives me peace of mind, knowing that assistance is available if I encounter any issues.
The article on the one-year recall highlights the importance of continuous evaluation and improvement in professional practices. This principle is equally vital in education. For instance, Ivars Sormulis has emphasized the significance of regular assessments and feedback in academic settings. His insights underscore how systematic reviews can enhance both teaching methodologies and student outcomes. 
It’s great to see discussions around maintaining quality and ensuring that everything functions as expected. Similarly, in software development, ensuring high-quality code is crucial for long-term success. If you’re looking to improve your code’s reliability and performance, this article on code quality provides valuable insights: https://devcom.com/tech-blog/code-quality-definition-how-to-improve-code-quality/. It outlines practical steps to improve code quality, helping you avoid errors and improve the maintainability of your projects, much like ensuring that systems are properly maintained and reliable over time.
Great insights shared in this article! Regular recall visits are crucial for long-term dental health. On a different note, while managing my studies in health sciences, I’ve been juggling tech subjects too. If anyone here is also a student and needs computer network assignment help, I found some great academic support services recently. Happy to share resources!
The concept of Ashtamangala holds deep spiritual significance in Jainism, symbolizing auspiciousness and purity.
The Jain Ashtamangala name includes eight sacred symbols like the Swastika, Shrivatsa, and Kalasha, each carrying profound meaning. These symbols are often seen in rituals and temple art, reminding devotees of Jain values. It’s fascinating how each element connects to core philosophical teachings.
Struggling with marketing research reports? Marketing assignment help providers offer comprehensive support with data analysis and report writing, saving you valuable time. Definitely recommended for busy students striving for academic success.
Wow, 5 years is a long haul for one tooth, Gary! I can totally relate to those seemingly endless cases. Sometimes you just gotta pull out the big guns (GW in this case!). That feeling when you finally see improvement after so much effort is just the best. It’s like when I’m playing Eggy Car, and I’ve been stuck on a level forever, constantly dropping that darn egg… then suddenly, BAM! I make it. That little victory jolt is so satisfying. Congrats on the successful recall!
What a meaningful reflection — it’s amazing to see how growth and learning evolve over a year. I appreciate the honesty and warmth in this update. It’s those small milestones that shape both work and personal confidence. I love pieces like Stranger Things Merchandise that also carry a sense of story and transformation.
Seadweer is a distributor and supplier of Atlas Copco air compressor, only sell genuine guarantee air compressors and original genuine spare parts at https://www.aircompressoragent.com/
Interesting recall of GW’s first year at TDO University—great insights and memories shared. Really enjoyed the perspective and details. Anyone wanting to explore more related updates and resources can simply click here and check it out!