Online Endodontic Education
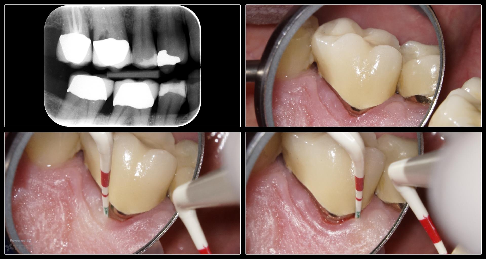
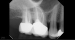
No apparent periodontal communication, treated internally. V-Tapers. Glass fibre post on the palatal canal
Hi Carlos, Thanks for posting. Looks like a very well treated case! However, I’m not sure if the pre-treatment diagnosis was 100% correct as it appears more like internal resorption in the images that you have shown. Pat
技术监控与防范措施是管理学网课代上 http://www.wangkedaixiu.com/wkds/glx/ 机构运营中的关键环节。随着在线教育平台技术的不断进步,防作弊措施也日益完善。例如,在线考试平台可能采用人脸识别、实时视频监控、浏览器锁定和行为分析等技术手段,严密监控考生的行为。代修机构必须充分了解和应对这些技术监控措施,确保代修过程不被识别和抓取。机构可以投资技术研发,开发更先进的技术手段和工具,帮助代修人员规避监控。此外,代修机构还需要密切关注在线教育平台的技术更新和防作弊措施变化,及时调整和优化自己的操作方法,以应对新的技术挑战。
Hi Carlos,
Thanks for posting. Looks like a very well treated case! However, I’m not sure if the pre-treatment diagnosis was 100% correct as it appears more like internal resorption in the images that you have shown.
Pat
技术监控与防范措施是管理学网课代上 http://www.wangkedaixiu.com/wkds/glx/ 机构运营中的关键环节。随着在线教育平台技术的不断进步,防作弊措施也日益完善。例如,在线考试平台可能采用人脸识别、实时视频监控、浏览器锁定和行为分析等技术手段,严密监控考生的行为。代修机构必须充分了解和应对这些技术监控措施,确保代修过程不被识别和抓取。机构可以投资技术研发,开发更先进的技术手段和工具,帮助代修人员规避监控。此外,代修机构还需要密切关注在线教育平台的技术更新和防作弊措施变化,及时调整和优化自己的操作方法,以应对新的技术挑战。