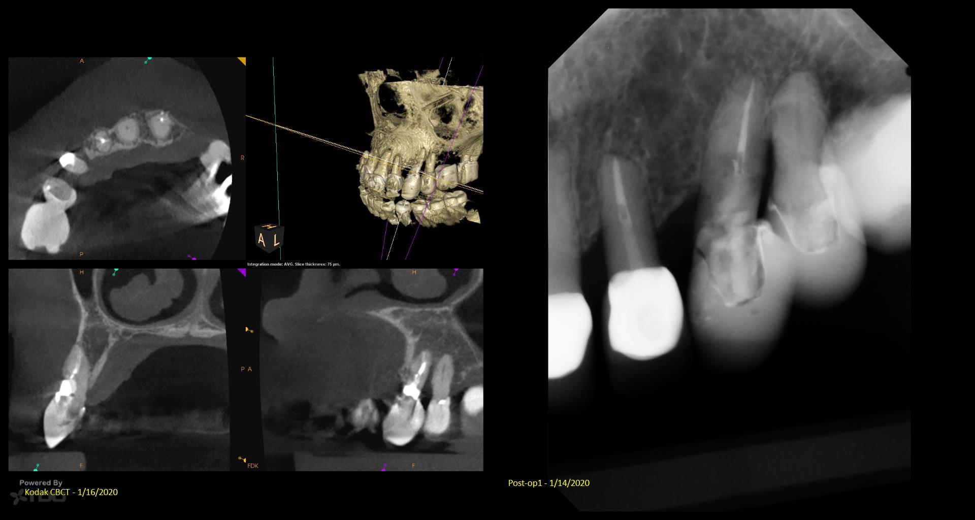
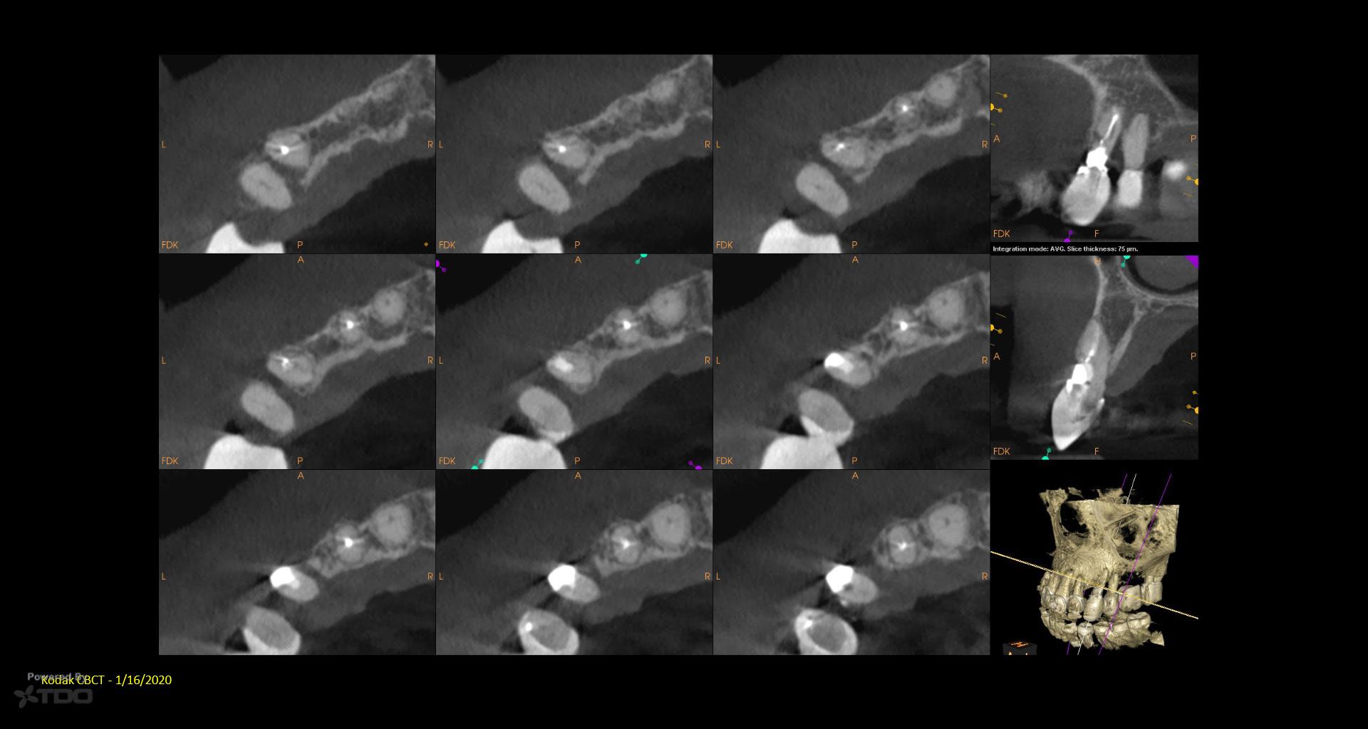
I posted this last month after the consult. There was mixed TDO advice—some said “do it” and others said monitor. Reluctantly, I did it Monday. I couldn’t really address the ECIR that was sub-osseous without removing way too much bone. I just hit it with the Pear Diamond as well as I could. Time will tell if it was a fool’s errand. I video’d the whole thing but don’t have the time to edit it. gbc






专业的英国代考 https://www.lunwentop.net/ying-guo-dai-kao/ 机构没有隐藏费用,所有的费用结构都是公开、明确的。同学们要联系客服了解清楚。
Writing service review is vital for finding trustworthy assistance. To explore top services on https://www.reddit.com/r/EducationEmpire/comments/1e3p68e/who_can_do_my_accounting_homework/ users can read experiences and recommendations. This information helps in choosing the right service for writing content creation, ensuring high-quality and effective content delivery.
Modern society is increasingly beginning to perceive the naked body not as an object of indulging stereotypes, but as an expression of individuality and uniqueness https://swipeturbate.com/ In this context, the naked body becomes a canvas on which artists can show their ideas, explore emotions and convey meaning, going beyond the traditional understanding of art. The variety of forms and approaches only enriches this process, contributing to cultural dialogue.However, with the increasing popularity of nude content, there is a need for education and enlightenment. While some users may perceive explicit images as simple entertainment, others may see them as a deep message. It is important to create a space where discussing these issues will be beneficial, not harmful. Education about consent and boundaries should be an integral part of any discussion.
I recently tried Snapeach.com, and it quickly became my favorite site for Omegle porn. It has a lot of great content, including top MILF and Asian babes videos, plus exclusive Snapchat nudes.
The videos and photos are really good quality, with clear visuals that make watching fun. The site is easy to use, and I feel safe knowing my privacy is protected with strong security. I highly recommend visiting Snapeach.com to see all the great content it offers.
Ether’s price action has captured the attention of many market participants recently, with analysts urging caution as the cryptocurrency faces a critical juncture. The price of Ether must hold the $2.7K level to avoid a deeper correction. This threshold has become a pivotal point for the asset, and its stability or breakdown could influence the market sentiment in the coming days cryptonomicon.io .
Ethereum’s performance is under the microscope as investors remain uncertain about the broader economic conditions and how they could impact the crypto market. The $2.7K mark represents more than just a psychological barrier; it’s a technical support level that could dictate the next move for Ether. If Ether fails to maintain its position above this price, it might trigger a more substantial pullback, potentially testing lower levels.
On the other hand, holding the $2.7K mark would offer a solid foundation for Ethereum to recover and possibly push higher in the coming weeks. As the market continues to assess the broader outlook for cryptocurrencies, Ether’s resilience at this level will be crucial for building confidence among investors and traders alike.
Если вам нужен простой и удобный способ для ведения электронного документооборота, TrustContract — это идеальный вариант! Этот https://trustme.kz/contract/edo сервис подходит для любого бизнеса, будь то маленькая компания или крупная корпорация. С помощью TrustContract можно не только подписывать договора онлайн, но и автоматизировать процессы уведомлений, платежей и хранения документов. Всё это происходит быстро, безопасно и без лишних проблем. Простой интерфейс, защита данных на высшем уровне и возможность интеграции с другими системами — всё, что нужно для эффективной работы. Лично я очень доволен, и рекомендую всем, кто хочет облегчить процессы документооборота!
Your writings are rather well-written and truly helpful; I have great expectations for additional excellent material you will provide for your readers the next time you write. vex3
Безусловно, мир онлайн-развлечений предлагает множество вариантов для досуга, и одним из самых обсуждаемых являются Плюсы и минусы слотов 7777 md https://7777loteria.com/ . Многие пользователи ищут честные мнения, чтобы понять, стоит ли уделять внимание этому ресурсу.Среди положительных сторон можно отметить доступность и удобство. Игры запускаются быстро, без сложных настроек, а интерфейс интуитивно понятен даже новичкам. Дополнительным преимуществом является разнообразие – пользователи могут выбрать развлечения по своему вкусу. Также многие отмечают динамику процесса, что делает отдых более увлекательным.Но, конечно, есть и недостатки. Например, некоторые пользователи сталкиваются с тем, что им не хватает дополнительных функций или особых режимов. Иногда встречаются технические сбои, что может повлиять на комфорт. Также важно учитывать, что не все готовы уделять много времени подобному досугу, так как он может быть довольно затягивающим.
Таким образом, перед тем как выбирать, стоит взвесить Плюсы и минусы слотов 7777 md, оценив удобство, функционал и личные предпочтения.
astro robot clicker is a casual game that combines the mechanics of an idle clicker with the excitement of robots
The levels in the color block jam game are very creatively designed. I can’t stop thinking about this game!
If you’re someone who appreciates a premium gaming experience, the name Golden Genie – Top Casino without Gamstop for High Rollers is one you’ve probably heard buzzing around recently. This platform is quickly becoming a favorite for those who want the thrill of high-stakes play without the usual restrictions. What makes it stand out is its clear focus on accommodating serious players who seek more freedom and bigger opportunities pieria.co.uk .
Golden Genie offers an environment tailored specifically for high rollers, combining luxury with convenience. It’s designed to provide an exhilarating experience while ensuring that the rules don’t limit your potential. This is especially appealing for players who want to manage their own play without the typical barriers that come from certain self-exclusion programs. The platform embraces those who want to push limits responsibly but without unnecessary hindrances.
One of the most impressive aspects is how Golden Genie handles user experience. The interface is sleek and intuitive, making it easy to navigate even when you’re exploring a variety of games. Whether you’re looking for classic table experiences or innovative new formats, this platform seems to have it all. What’s more, the speed of transactions and customer service responsiveness are often praised by users, reinforcing its status as a top choice for serious players.
Sometimes you have to take a risk with difficult decisions, you have done it carefully, and it was worth it.
And if you want to relax later, you can play Chill Guy Clicker, a light and funny clicker game to relieve stress.
Wow, what a mix! Seeing ‘I couldn’t really address the ECIR’ made me think of my dentist appointment. Seriously though, with stuff like Ether’s $2.7K price point and random links, makes me wonder if I should steal a brainrot calculator and figure out what’s going on! Haha, weird stuff I find while sipping coffee…
thanks for sharing this real-world decision-making insight, gary. it’s helpful to hear the honest follow-up on whether the approach worked out. i played some cookie clicker 2 to unwind after reading through your case details.
Play slope game on any device to test your reflexes on a 3D endless road! Let’s avoid obstacles, roll down endless slopes, and get the highest score!