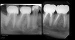
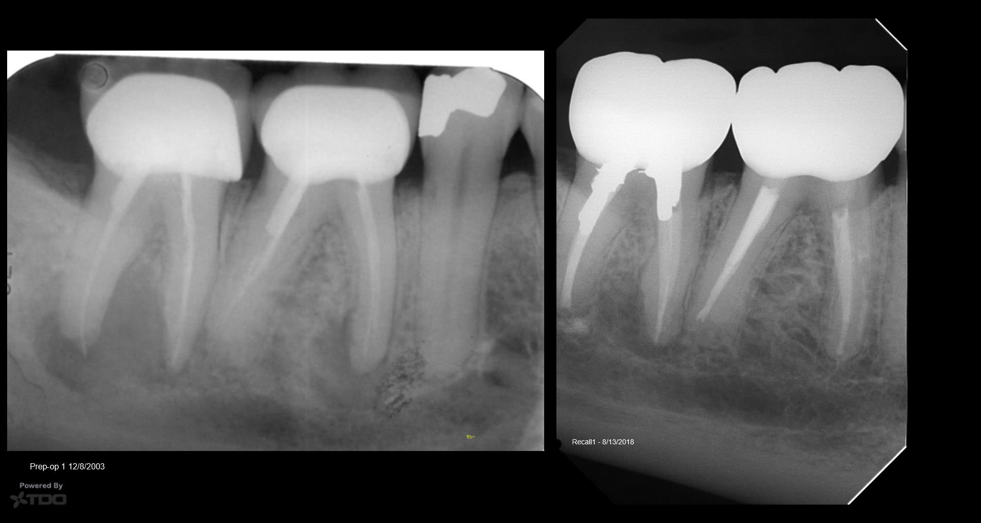
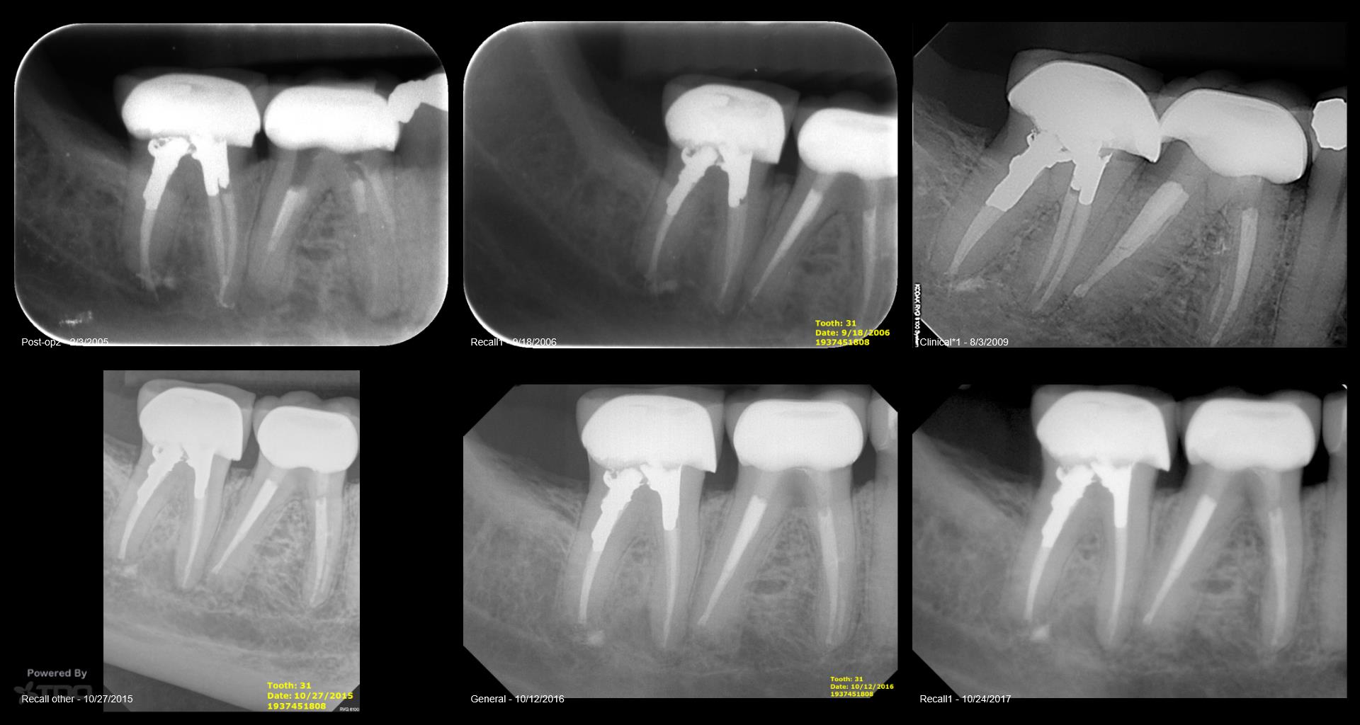
Very compliant patient—always made his recalls. Tooth has been asymptomatic for 15 years…and the periapical area had cleared—-now tender to biting and patient has an ache….No evidence of any occlusal issues. Will start the retreatment…again. Ugh….. gbc




Ever imagined carrying the thrill of a world-class entertainment experience wherever you go? With the Playwise365 Casino Mobile App, that dream becomes a reality. This innovative app offers all the excitement of a traditional venue right at your fingertips, allowing you to immerse yourself in the action anytime, anywhere. Whether you’re on a break at work or winding down at home, your next thrilling adventure is just a tap away.
The beauty of the Playwise365 Casino Mobile App lies in its convenience. No more waiting in line or dealing with overcrowded rooms. The app is designed for users who crave a seamless and enjoyable experience, combining fun, excitement, and ease of use all in one platform. With just a few taps, you’re ready to go, exploring a world of entertainment options, all available on your mobile device.
What makes this app truly stand out is its versatility. Whether you’re a seasoned enthusiast or just looking for some casual fun, the Playwise365 Casino Mobile App offers something for everyone. It’s not just about playing, it’s about playing on your terms. The app is built to be responsive, ensuring that you can engage in your favorite games without any technical issues. Plus, with the added benefit of portability, the entertainment never has to stop.
For those who value variety, the app provides a range of exciting experiences. Each feature is carefully designed to offer a dynamic and engaging environment. You can jump between different game types with ease, finding something that perfectly matches your mood. It’s all about making sure your experience remains fresh, fun, and memorable every time you log in.
I used to think online platforms like this were only for people with a lot of free time, but my experience with Melbet proved otherwise. I came across https://melbetsbd.net/ while browsing options available in Bangladesh, and I decided to give it a try without expecting much. Surprisingly, it didn’t take long before I started enjoying the process. What I like most is how customizable the experience feels. I can choose what interests me, ignore what doesn’t, and build my own routine around it. I don’t feel pressured to participate constantly, which makes it more sustainable in the long run. Over time, I’ve learned to be selective and focus only on events where I have some level of understanding. This has helped me avoid unnecessary mistakes and keep things under control. The platform also provides enough information to support decision-making, which I find very useful. Another advantage is how smoothly everything runs, even when I’m using my phone with average internet speed. Living in Bangladesh, that’s something I always pay attention to. It’s become a comfortable way for me to unwind after work, giving me a mix of entertainment and mental engagement without feeling overwhelming.