Search for:
Home
Courses
FAQ
Getting Started with TDO University
Register
Login
Online Endodontic Education
Register
Login
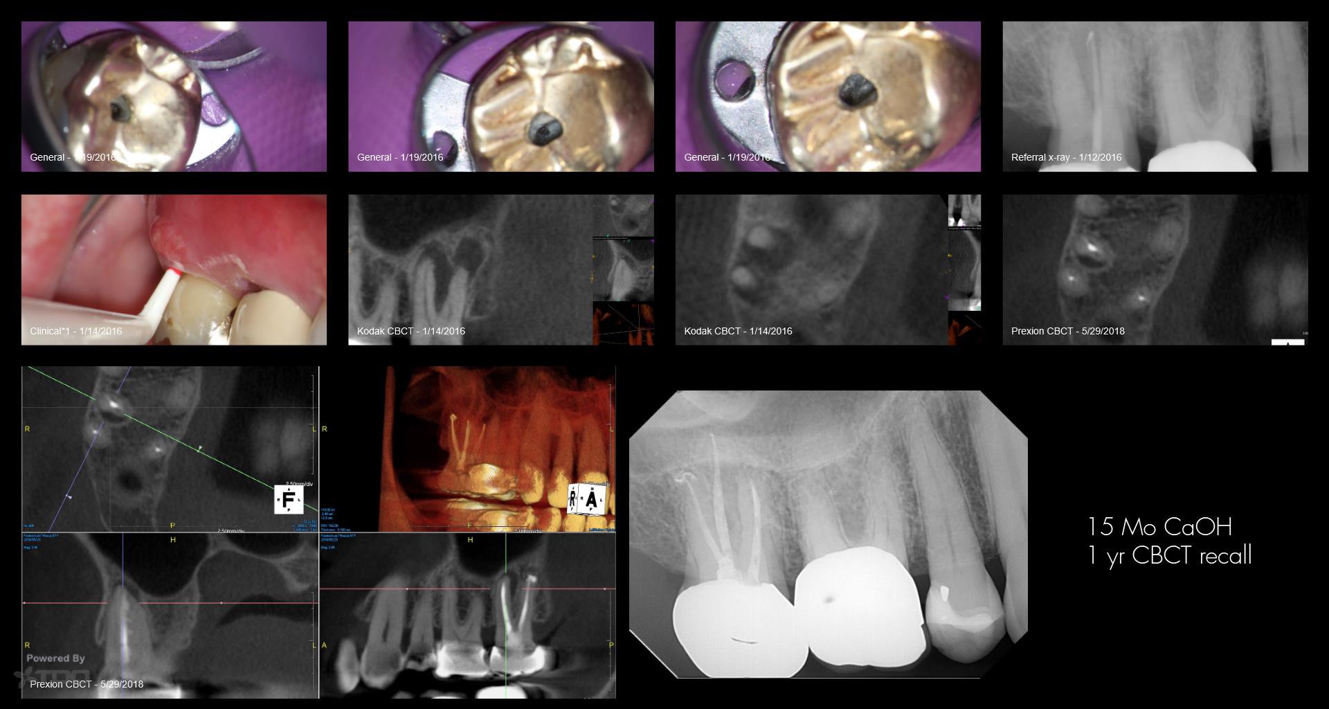
15 mo CaOH
By
Gary Carr
May 29, 2018
|
Sent From TDO
|
No Comments
[post-views]
Gary Carr
0
0
vote
Article Rating
Subscribe
Login
Notify of
new follow-up comments
new replies to my comments
Please login to comment
0
Comments
Inline Feedbacks
View all comments
Posts navigation
← Caries Leveraged Access–Max 1st Molar
Anoth 15 mo CaOH →
wpDiscuz
Insert
@
Not recently active