• Home
  • Courses
  • FAQ
    • Getting Started with TDO University
Register Login

Online Endodontic Education

TDO University
Register Login

Microscope

#19 – Re-endo

#19 – Re-endo

October 29, 2018 3 comments

#19 with  (1)# file in the MB (2) Ledged ML (3) Screw post in the distal. The file dislodged with a U-file and ultrasonics to sand away the composite and vibrate out the post. Fibre-post in the MB and distal canals. Getting that 1.5-2.5 mm ferrule in the lingual side will be crucial in this case. 

Reuben JosephOctober 29, 2018 3 comments
Reuben Joseph
#29 with a deep split in the middle 3rd

#29 with a deep split in the middle 3rd

August 27, 2018 4 comments

Somehow i find these premolars canals that splits in the middle 3rd harder to locate and shape than the ones that split in apical. Heat treated NiTi’s come in really handy in these cases.  

Reuben JosephAugust 27, 2018 4 comments
Reuben Joseph
#30 – Caries Driven Access

#30 – Caries Driven Access

July 16, 2018 3 comments

#30 Pulpitis. Caries involving the ML cusp. Caries driven access planned   Mb located in the middle of the floor and the dentinal map suggested a ML orifice present almost on the lingual wall of the tooth unlike the usual. I had to stick to what I could see rather than go to the usual co-ordinates to […]

Reuben JosephJuly 16, 2018 3 comments
Reuben Joseph
#15 Pulpitis – Canal Projection

#15 Pulpitis – Canal Projection

June 26, 2018 11 comments

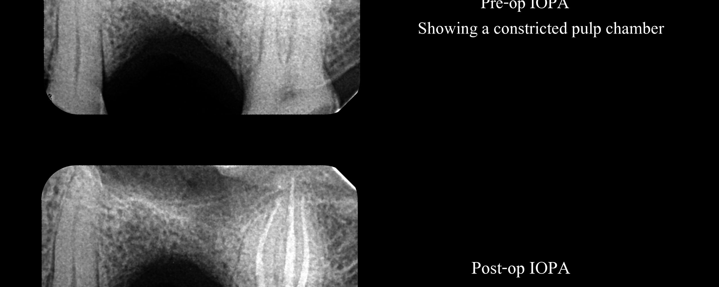
Pre-op Assessment: Severe attrition and a constricted pulp chamber. Treatment plan: Access cavity planned taking into account the regression of the pulp chamber size. Canals shaped through the angles the canals project centrally.

Reuben JosephJune 26, 2018 11 comments
Reuben Joseph
Teamwork in Endodontic Surgery

Teamwork in Endodontic Surgery

June 16, 2018 4 comments

Just for Capt Kirk!

Gary CarrJune 16, 2018 4 comments
Gary Carr
Routine Maxillary First Molar–Initial Treatment

Routine Maxillary First Molar–Initial Treatment

May 17, 2018 7 comments

Patient in pain to hot/cold after the amalgams were taken out and replaced with composite. Routine MIE access, four canals. Patient doing well.

Nishan OdabashianMay 17, 2018 7 comments
Nishan Odabashian
12

Categories

© 2018 - TDO University
  • Home
  • All Courses
  • Privacy Policy

@

Not recently active