• Home
  • Courses
  • FAQ
    • Getting Started with TDO University
Register Login

Online Endodontic Education

TDO University
Register Login

Minimally Invasive Endodontics

MIE/ Pt. management

MIE/ Pt. management

August 7, 2018 3 comments

Case from today.  Clearly her D decay guided the main access, Tooth on M was intact, so I went with a truss to preserve as much as possible. With anxious patients, I use Alprazolam and try to complete in one visit, whenever possible, to spare them more visits/anxiety. Her level of anxiety was such, that […]

Dr. Angela NogueraAugust 7, 2018 3 comments
Dr. Angela Noguera
#13 – Caries Driven Access

#13 – Caries Driven Access

July 24, 2018 8 comments

– Sub-gingival caries distal to an isolated #13 – Gingivectomy and isolation done – Caries driven access through the distal (missing #12 and #14 made this approach possible) – No post-endodontic restoration planned as the patient is a partial denture user (maxillary an mandibular) an I don’t think she will generate enough functional load for […]

Reuben JosephJuly 24, 2018 8 comments
Reuben Joseph
#19 Caries Driven access

#19 Caries Driven access

July 17, 2018 6 comments

Clinical Scenario and treatment done DO caries with a deep sub-gingival margin Resorbed apex – Distal root (H/O Orthodontic treatment) Surprisingly had a good tug-back all the way in the distal canals Shaped to 4% 30 Distal and 4% 25 in the mesials Obturation technique – WVC  

Reuben JosephJuly 17, 2018 6 comments
Reuben Joseph
#30 RCT – 3 Distal anatomy – Truss access

#30 RCT – 3 Distal anatomy – Truss access

July 11, 2018 5 comments

#30 deep distal margin. Done in 2 visits. Gingivectomy and Pre-endo done. All canals shaped to 4% 25 obturated using WVC.

Reuben JosephJuly 11, 2018 5 comments
Reuben Joseph
#19 RCT – 3 Mesial Anatomy – Truss Access

#19 RCT – 3 Mesial Anatomy – Truss Access

July 11, 2018 6 comments

U-File pre-bent and customized to cleanunder the truss Customized ultrasonic file used to clean the hard to reach areas. #truss #endodontist #endodontics #endodontia #rct #dental #dentistry #rootcanaltreatment A post shared by TheMicroEndodontist (@themicroendodontist) on May 19, 2018 at 12:53am PDT  

Reuben JosephJuly 11, 2018 6 comments
Reuben Joseph
MIE: Untreated pal canal

MIE: Untreated pal canal

July 3, 2018 4 comments

White , 70 yo, male presented completely asymptomatic but with a buccal ST.  Tooth had a post and crown and patient did not want to have it removed.  CBCT  showed missed palatal canal. Access was done above the P cusp with the intention of locating and treating the missed canal only. Last PA is a […]

Dr. Angela NogueraJuly 3, 2018 4 comments
Dr. Angela Noguera
Caries Driven Access – #29

Caries Driven Access – #29

June 28, 2018 3 comments

#29 referred for endo. Caries driven access through the cervical decay. Restored with fibre-reinforced composite. No post-endo restoration planned. Patient will most likely opt for a bridge or an implant in the adjacent edentulous space. These access through the cervical area keep me thinking whether a small opening through the occlusal and post will offer […]

Reuben JosephJune 28, 2018 3 comments
Reuben Joseph
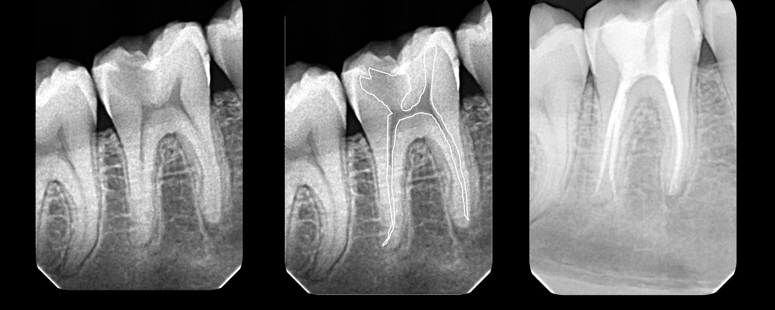
Desi- Image guided endodontics

Desi- Image guided endodontics

June 27, 2018 3 comments

#30 – Truss Access Pre-op IOPA reveals a #30 with irreversible pulpitis involving the distal pulp horn and a fairly intact Mesio-occlusal surface.  Treatment plan: Truss access planned leaving the bridge of dentin in the centre intact. Truss access’s are precise and more conservative with a CBCT. But in a scenario where a CBCT is not […]

Reuben JosephJune 27, 2018 3 comments
Reuben Joseph
Conservative access

Conservative access

June 26, 2018 1 comment

Heat treated files allow for conservative access in an area where a larger access would otherwise be needed.

Mark DreyerJune 26, 2018 1 comment
Mark Dreyer
Routine Maxillary First Molar–Initial Treatment

Routine Maxillary First Molar–Initial Treatment

May 17, 2018 7 comments

Patient in pain to hot/cold after the amalgams were taken out and replaced with composite. Routine MIE access, four canals. Patient doing well.

Nishan OdabashianMay 17, 2018 7 comments
Nishan Odabashian
123

Categories

© 2018 - TDO University
  • Home
  • All Courses
  • Privacy Policy

@

Not recently active